Journal of Aging Research And Healthcare

Journal of Aging Research And Healthcare

Journal of Aging Research and Healthcare

Current Issue Volume No: 1 Issue No: 3

Research Article Open Access Available online freely Peer Reviewed Citation

Marginal Bone Levels and Trabecular Bone Structure: A Longitudinal Population Study of women

Article Type: Research Article

1Dept. of Behavioral and Community Dentistry, Institute of Odontology at the Sahlgrenska Academy, University of Gothenburg, Gothenburg, Sweden.

2Research & Development Centre, Sven Eriksonplatsen 4, 50338 Borås, Sweden

3Department of Oral and Maxillofacial Radiology, University of Gothenburg, Gothenburg, Sweden.

Abstract

Bone quality is difficult to assess but the skeletal bone condition is reflected in mandibular trabecular bone, which is well imaged in periapical dental radiographs. The aim of this 12-year prospective cohort study was to test if marginal mandibular bone loss differs in women with varying trabecular bone structure. The sample consisted of 460 women (aged 38, 46, and 54 years) from the prospective population study of women in Gothenburg, Sweden. Marginal bone loss was assessed according to a five-graded scale in two surveys 12 years apart, and the mandibular bone structure was evaluated visually as sparse, mixed, and dense. The results showed that marginal bone loss was significantly correlated to mandibular bone structure (r= 0.20; p<0.001 at baseline, and r= 0.17; p<0.001 after 12 years). Significant differences in marginal bone loss between trabeculation groups were found, with the largest loss in the group with dense trabeculation. Age, smoking, number of missing teeth and trabecular bone structure explained 20-28% of the variation in marginal bone loss. The conclusion was that women with dense trabecular bone in the mandible suffered a stronger periodontal bone destruction when negative events occur, than the women with sparser trabeculation.

Author Contributions
Received 25 Aug 2016; Accepted 13 Nov 2016; Published 15 Nov 2016;

Academic Editor: Ming Xiao, Nanjing Medical University

Checked for plagiarism: Yes

Review by: Single-blind

Copyright ©  2016 Grethe Jonasson, et al

License
Creative Commons License     This is an open-access article distributed under the terms of the Creative Commons Attribution License, which permits unrestricted use, distribution, and reproduction in any medium, provided the original author and source are credited.

Competing interests

The authors have declared that no competing interests exist.

Citation:

Grethe Jonasson, Margareta Ahlqwist (2016) Marginal Bone Levels and Trabecular Bone Structure: A Longitudinal Population Study of women. Journal of Aging Research And Healthcare - 1(3):11-17. https://doi.org/10.14302/issn.2474-7785.jarh-16-1275

Download as RIS, BibTeX, Text (Include abstract )

DOI 10.14302/issn.2474-7785.jarh-16-1275

Introduction

Periodontitis is a chronic bacterial infection caused by dental biofilms. Bacterial virulence triggers immune-pathologic host responses which in turn may lead to periodontal hard and soft tissue destruction and sometimes loss of teeth.1 The host response to infection determines to a certain degree the extent and severity of the disease, and increased prevalence and severity may be associated with certain systemic diseases.2

Osteoporosis may have an impact on the host response but the association between periodontitis and osteoporosis is not fully elucidated. Periodontitis and osteoporosis both progress with advancing age, smoking, estrogen deficiency, and heredity.3Thus,many risk factors are common for the two conditions although infection is the unique feature of periodontitis.3

Most adults in Western countries visit their dentists regularly, and radiographs are taken. The trabecular structure is well imaged in intra-oral and extra-oral radiographs, but normally not assessed in the clinic. However, mandibular sparse trabeculation is associated with osteopenia,4,5 and a serious risk factor for fracture identifying women at high risk for future fractures many years before the first fracture occurs.6,7 As much as 71-78% of women with sparse trabeculation would sustain fracture during their lifetime.7 However, evaluation of the trabecular structure may be interesting for other reasons in dental practices.

Recently, the association between marginal bone loss, BMD and mandibular bone structure was investigated in a group of women (n= 128).8 It was found, that the group of women with dense mandibular trabecular bone suffered a greater decrease in alveolar bone height than other women including the osteoporotic women.8 Since this result is rather contra-intuitive, the aim of the present investigation was to test, whether the same tendency was found in a larger study of 460 women followed for 12 years. Thus, the null hypothesis was that marginal bone level changes were not correlated to the trabecular bone structure, a proxy variable for host response to bacterial virulence.

Materials and Methods

Study Population

In 1968-69, a randomized sample comprising 1462 women in the age strata 38, 46, 50, 54 and 60 years were medically and dentally examined in Gothenburg, Sweden.9 To ensure a representative sample of women, they were selected according to date of birth, on dates of the month divisible by six. The same women were reexamined twelve years later. In both surveys, they completed questionnaires concerning their general health. Height and weight were measured for the calculation of body mass index (BMI). In the first survey, the participation rate was 90% for the medical part of the study, and 87% in the dental part. In the second survey, 78.9% (medical study) and 72.7% (dental study) respectively, returned for a new examination.9 The women, who declined participation in the first study, did not differ significantly from the participants except in long-term survival, which was shown to be lower in the initial refusers. In the present study, all dentate women with panoramic radiographs, from which it was possible to assess the trabecular pattern in 1968 as well as in 1980, were included: 460 women from three cohorts born 1930 (initial age 38 years, n=171), 1922 (initial age 46 years, n=223), and 1914 ( initial age 54 years, n=66). Too few women had diabetes and other co-morbidities to influence the marginal bone loss; 11% received anti-depressive medication, 2% cortisone medication, and 2% hormone replacement therapy.

The Ethics Committee of the University of Gothenburg approved the study, and participants gave their informed consent

Dental and Periodontal Examination

In both studies, the number of teeth was noted using panoramic radiographs, and the marginal bone level was assessed for all teeth in 1968-69, and in 1980-81 by a five-graded transparent ruler with six lines. Each line after the first two represented 25% of the total root length.10 The first line of the ruler was placed on the tooth’s radiographic cemento-enamel junction. The ruler was then moved until the last line passed through the tooth’s radiographic apex. The first two lines were very close together and the small interval between them represented the “natural” variation in bone levels between individuals with normal bone levels. Bone score zero designated teeth with no apparent marginal bone loss, and bone score 4 was given to teeth with the most severe marginal bone loss (>75% of the root length). The total bone score, the mean of all marginal height measurements, were used in the analyses. Only marginal bone loss was assessed over time.

Mandibular Trabecular Bone Structure

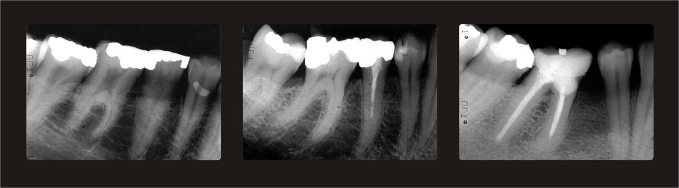
Three periapical and three panoramic radiographs with varying degrees of trabeculation were used as index references to assess the trabeculation pattern as proposed by Lindh et al. in 199611 and modified by Jonasson et al. 2001.4 The periapical radiographs are shown in Figure 1. Periapical radiographs are more easily interpreted than panoramic radiographs, which demand training (Pham et al 2010).12 With the help of these radiographs, the trabeculation of the mandibular alveolar process was classified as either sparse (regarded as an ordinal variable with the value 1), mixed dense and sparse trabeculation (value 2) or dense (value 3). Sparse trabeculation had large intertrabecular spaces apparent in most of the alveolar processes, particularly in the crestal dentate premolar area. Dense trabeculation had small intertrabecular spaces everywhere. Mixed dense and sparse trabeculation was dense crestally and sparser apically. In the event of uncertainty, the mixed category was chosen (Figure 1).

Figure 1.Periapical reference radiographs.Left: Sparse trabeculation with large intertrabecular spaces and almost invisible trabeculae. Middle: Mixed dense and sparse trabeculation with small intertrabecular spaces cervically and larger spaces more apically. Right: Dense trabeculation with small intertrabecular spaces.
 Periapical reference radiographs.Left: Sparse trabeculation with large intertrabecular spaces and almost invisible trabeculae. Middle: Mixed dense and sparse trabeculation with small intertrabecular spaces cervically and larger spaces more apically. Right: Dense trabeculation with small intertrabecular spaces.

The classification performed on the 1968 panoramic radiographs was used in the analyses.

Intraobserver and Interobserver Agreement

Three dentists, two oral and maxillofacial radiologists and one experienced in classifying trabecular patterns in oral radiographs, performed a test-retest of the assessment of bone trabeculation for panoramic radiographs. After a training session with 50 panoramic radiographs evaluated three times, a total of 30 new panoramic radiographs were evaluated twice, 4 weeks apart, by the three observers. Intra-observer agreement was good (Kappa: 0.65, 0.76, and 0.92), and so was the inter-observer agreement (Kappa: 0.73, 0.72, and 0.84).

Statistical Methods

Bivariate regression analyses were used to test the association between a decrease in marginal bone level and trabeculation, smoking and number of teeth. Three multiple regression analyses were performed with marginal bone levels 1968, 1980, and the 12-year change in marginal bone levels as dependent variables. Independent variables were trabecular bone structure, smoking, and number of teeth. Analyses were performed with EPI-Info 7 (Center for Disease Control, Atlanta, GA).

Results

Marginal bone loss assessed from the panoramic radiographs, according to bone scores of 0-4 (bone score 0: no bone loss, score 4: extremely severe bone loss), was significantly correlated to mandibular bone structure (r= 0.20; p<0.001) in 1968 as well as in 1980 (r= 0.17; p<0.001). The Kruskal-Wallis test showed significant differences in marginal bone loss in 1968 between trabeculation groups (p<0.001, Table 1), and the largest was found in the group with dense trabeculation (0.90 in the dense group; 0.70 in the mixed trabeculation group, and 0.67 in the sparse trabeculation group). Similarly, in 1980 the largest marginal bone loss was also found in the group with dense trabeculation (1.14 in the dense group; 0.89 in both the mixed and sparse trabeculation group, p<0.001, Table 1). In 1980, fracture rate in the total group was 49.3%. In the sparse group, 82.7% had suffered a fracture; in the mixed group 47.7%, and in the dense group 22.1% (p<0.001).

Table 1. Mean marginal bone loss evaluated with a Shei ruler.
1968* Number Marginal bone loss SD and range
Sparse Trabeculation 98 0.67 0.38 (0.13-1.8)
Mixed 235 0.7 0.41 (0-2.2)
Dense 127 0.9 0.49 (0-2.4)
1980**      
Sparse 164 0.89 0.44 (0.09-2.3)
Mixed 201 0.89 0.44 (0-2.6)
Dense 92 1.14 0.54 (0.07-2.6)

* Kruskal-Wallis 19.4; p<0.001.
** Kruskal-Wallis 17.5; p<0.001.

Statistically significant correlations were found between marginal bone loss in 1968-69, and in 1980-81 (r=0.84, p<0.001). Smoking washighly statistically significant correlated to increased marginal bone loss in 1968-69 as well as in 1980-81 (r= 0.20; p<0.001, and r=0.36; p<0.001) and to number of lost teeth (r=0.17; p<0.001).

In a multiple regression analysis, 20% of the variation in marginal bone loss 1968 was explained by age, smoking, number of missing teeth and trabecular structure (Table 2). Similarly, 28% of the variation in marginal bone loss 1980 was explained by age, smoking, number of missing teeth and trabecular structure (Table 3).

Table 2. Regression analysis with marginal bone loss 1968 as dependent variable.
Variables Coefficient Standard error p-value
Age 0.019 0.004 <0.001
Smoking 0.04 0.008 <0.001
Missing teeth 0.014 0.003 <0.001
Trabeculation 0.083 0.027 <0.01
Constant 36.1 6.9 <0.001

R2= 0.20.
Table 3. Regression analysis with marginal bone loss 1980 as dependent variable.
Variables Coefficient Standard error p-value
Age 0.008 0.004 0.025
Smoking 0.053 0.009 <0.001
Missing teeth 0.026 0.003 <0.001
Trabeculation 0.054 0.026 0.043
Constant 0.081 0.162 0.615

R2= 0.28

Together two significant variables, smoking and age, explained 5% of the variation of the 12-years change in marginal bone level (p<0.001). Bone structure was not significantly correlated to 12-years change in marginal bone level when smoking was included, but significant together with age (p=0.02).

Discussion

The results of the present study showed that the marginal bone loss was largest, both in 1968 and 1980, in women with dense trabeculation. These results are in contradiction with the present hypothesis but corroborate with previous results.8Also age, smoking and number of missing teeth were significant predictors of marginal bone loss in 1968 and 1980, which is in accordance with other studies.2, 13,14,15,16,17,18,19,20

Previously, osteoporotic women were found having suffered a larger marginal bone loss than non-osteoporotic women, but the largest was found in women with dense trabecular bone and normal bone mineral density (BMD).8 In the present investigation, BMD was not measured, but the findings are similar taking into consideration that a dense trabeculation in the mandible is a reliable sign of normal BMD, whereas sparse trabeculation indicates osteopenia or osteoporosis.4,5 One hypothetical explanation for this contra-intuitive phenomenon may be the bone cell activity at the endosteal surfaces, and the action of hormones, growth factors, prostaglandins, and cytokines.21

Whereas compact bone has mainly a mechanical and protective function for the skeleton, trabecular bone chiefly fulfills metabolic activity with bone formation and resorption, which takes place on bone surfaces.22 Dense trabecular bone has more bone surfaces than sparse trabecular bone, and consequently more bone cells and remodeling. This may partly explain why the dense trabeculation group underwent larger changes in mandibular alveolar bone levels than the other groups with sparser trabecular bone, but the real cause of the decreased bone height cannot be determined in this study. It is a reasonable hypothesis that failing to assess trabecular bone after its coarseness (dense, mixed or sparse), its amount of remodeling with active cell activity and cytokine production, may explain why women with high or normal BMD can be “fast bone losers”,23 and why the association between alveolar bone height and osteoporosis is not straight forward.

The alveolar process develops as a result of tooth root elongation and tooth eruption. It is unique in many ways; it is easily exposed to oral microflora, “damaged” during odontological procedures, and the only bone that may decrease with aging. Furthermore, it has the fastest bone turn-over in adult beings.24 Local inflammatory processes in the gingiva and the tooth pulp are well known causes to local bone loss, but also systemic inflammatory processes, such as Bowel´s disease and rheumatoid arthritis, may induce systemic as well as local bone loss in the jawbones.

The strength of this investigation is its longitudinal design and the randomized inclusion of participants, which diminish risks for selection bias. The group of women with dense trabeculation was small, but the results were so similar to previous research,8 that the generalizability appears reliable. Furthermore, all data, except information about age and smoking, were derived from panoramic radiographs, assessed by only one observer, whereby problems with information bias were minimized. Measurements with a transparent ruler are rather rough, but very easily taken, and studies have shown less angulation errors because of shortening or elongation of the imaged tooth, when bone loss is expressed as a percentage of root length.25 The limitations are mainly that no BMD measurements have been performed, and no information exists of cytokines, hormones, and growth factors levels.

Probably more pronounced marginal bone loss can be expected in a dense, male group than in a female, because men in general have denser bone,26 and more periodontitis than women.27 Considering the presumable increased humoral and cellular activity in dense trabecular bone, future research concerning response to periodontal treatment in varying trabeculation groups for both sexes may be rewarding.

Conclusion

Having dense trabecular bone in the mandible may imply stronger periodontal bone destruction when negative events occur than having a sparser trabeculation.

Acknowledgements

This research was funded by research grants from the Research and Development Councils of Southern Älvsborg County, Sweden.

References

  1. 1.R J Genco, F D Genco. (2014) Common risk factors in the management of periodontal and associated systemic diseases: the dental setting and interprofessional collaboration. , J Evid Based Dent Pract 14, 4-16.
  1. 2.D F Kinane, G J Marshall. (2001) Periodontal manifestations of systemic disease. , Aust Dent J 46, 2-12.
  1. 3.U H Lerner. (2006) b) Inflammation-induced bone remodeling in periodontal disease and the influence of post-menopausal osteoporosis. , J Dent Res 85, 596-607.
  1. 4.Jonasson G, Bankvall G, Kiliaridis S. (2001) Estimation of skeletal bone mineral density by means of the trabecular pattern of the alveolar bone, its interdental thickness, and the bone mass of the mandible. Oral Surg Oral Med Oral Pathol Oral Radiol Endod. 92, 346-352.
  1. 5.Jonasson G, Jonasson L, Kiliaridis S. (2006) Changes in the radiographic characteristics of the mandibular alveolar process in dentate women with varying bone mineral density: a 5-year prospective study. , Bone 38, 714-21.
  1. 6.Jonasson G, Sundh V, Ahlqwist M, Hakeberg M, Björkelund C. (2011) A prospective study of mandibular trabecular bone to predict fracture risk: a low-cost screening tool in the dental clinic. , Bone 49, 873-879.
  1. 7.Jonasson G, Sundh V, Hakeberg M, Hassani-Nejad A, Lissner L. (2013) Mandibular bone changes in 24 years and skeletal fracture prediction. , Clin Oral Investig 17, 565-572.
  1. 8.Jonasson G. (2015) Five-year alveolar bone level changes in women of varying skeletal bone mineral density and bone trabeculation. Oral Surg Oral Med Oral Pathol Oral Radiol. 120, 86-93.
  1. 9.Ahlqwist M, Bengtsson C, Grondahl H-G, Lapidus L. (1991) Social factors and tooth loss in a 12-year follow-up study of women in Gothenburg, Sweden. Community Dent Oral Epidemiol. 19, 141-146.
  1. 10.Björn H, Holmberg K. (1966) Radiographic determination of periodontal bone destruction in epidemiological research. , Odontol Revy 17, 232-250.
  1. 11.Lindh C, Petersson A, Rohlin M. (1996) Assessment of the trabecular pattern before endosseous implant treatment: diagnostic outcome of periapical radiography in the mandible. Oral Surg Oral Med Oral Pathol Oral Radiol Endod. 82, 335-343.
  1. 12.Pham D, Jonasson G, Kiliaridis S. (2010) Assessment of trabecular pattern on periapical and panoramic radiographs: a pilot study. Acta Odontol Scand.68 91-97.
  1. 13.C F Streckfus, R B Johnson, Nick T, Nick T, Tucci M. (1997) Comparison of alveolar bone loss, alveolar bone density and second metacarpal bone density, salivary and gingival crevicular fluid interleukin-6 concentrations in healthy premenopausal and postmenopausal women on estrogen therapy. , J Gerontol A Biol Sci Med Sci 52, 343-351.
  1. 14.C F Hildebolt, T K Pilgram, Dotson M, Yokoyama-Crothers N, Muckerman J. (1997) Attachment loss with postmenopausal age and smoking. , J Periodontal Res 32, 619-625.
  1. 15.J B Payne, R A, P V Nummikoski, Patil K. (1999) Longitudinal alveolar bone loss in postmenopausal osteoporotic/ osteopenic women. , Osteoporos Int 10, 34-40.
  1. 16.J B Payne, R A, P V Nummikoski, D G, K D Patil. (2000) The association of cigarette smoking with alveolar bone loss in postmenopausal females. , J Clin Periodontol 27, 658-664.
  1. 17.Paulander J, J L Wennström, Axelsson P, Lindhe J. (2004) Some risk factors for periodontal bone loss in 50-year-old individuals. A 10-year cohort study. , J Clin Periodontol 31, 489-496.
  1. 18.Bodic F, Hamel L, Lerouxel E, M F Baslé, Chappard D. (2005) Bone loss and teeth. , Joint Bone Spine 72, 215-221.
  1. 19.Hugoson A, Sjodin B, Norderyd O. (2008) Trends over 30 years, 1973–2003, in the prevalence and severity of periodontal disease. , J Clin Periodontol 35, 405-414.
  1. 20.Otomo-Corgel J. (2012) Osteoporosis and osteopenia: implications for periodontal and implant therapy. , Periodontol2000 59, 111-139.
  1. 21.U H Lerner. (2006) Bone remodeling in post-menopausal osteoporosis. , J Dent Res 85, 584-95.
  1. 22.Seeman E, P D Delmas. (2006) Bone quality--the material and structural basis of bone strength and fragility. , N Engl J Med 354, 2250-2261.
  1. 23.M A Hansen, Overgaard K, B J Riis, Christiansen C. (1991) Role of peak bone mass and bone loss in postmenopausal osteoporosis: 12 year study. , BMJ 303, 961-964.
  1. 24.Huja S S, Fernandez S A, Hill K J, Li Y. (2006) Remodeling dynamics in the alveolar process in skeletally mature dogs. Anat Rec Discov Mol Cell Evol Biol. 288, 1243-1249.
  1. 25.Hausmann E, Allen K, Christersson L, R J Genco. (1989) Effect of X-ray beam vertical angulation on radiographic alveolar crest level measurement. , J Periodontal Res 24, 8-19.
  1. 26.Hassani-Nejad A, Ahlqwist M, Hakeberg M, Jonasson.G.(2013Dec)Mandibular trabecular bone as fracture indicator in 80-year-old men and women. , Eur J Oral Sci 121(6), 525-31.
  1. 27.Schulze A, Busse M. (2016) Gender differences in periodontal status and oral hygiene of non-diabetic and type 2 diabetic patients. Open Dent. 10-287.

Cited by (3)

This article has been cited by 3 scholarly works according to:

OpenAlex 2 citations Semantic Scholar 1 citations