Rapid Calcification of Myocardium as Sequela from Severe Sepsis
Abstract
A rare case of rapid myocardial calcification following severe sepsis is presented. The report outlines the temporal course, imaging findings, and plausible pathophysiologic mechanisms, including septic cardiomyopathy and calcium‑phosphate imbalance. Implications for critical care follow‑up and cardiology evaluation are discussed.
Author Contributions
Academic Editor: Anil TOMBAK, Mersin University Faculty of Medicine
Checked for plagiarism: Yes
Review by: Single-blind
Copyright © 2017 Andreas S. Kunz, et al
This is an open-access article distributed under the terms of the Creative Commons Attribution License, which permits unrestricted use, distribution, and reproduction in any medium, provided the original author and source are credited.
Competing interests
The authors have declared that no competing interests exist.
Citation:
The Case
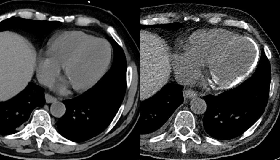
The reported case shall highlight severe sepsis as possible cause of myocardial calcification, as well as the highly dynamic development thereof within a time span of merely 10 weeks. A 60-year-old male patient had been admitted to hospital for palliative therapy of progressive multiple myeloma, which lately had transformed into plasma cell leukemia. After commencing his third therapy cycle with Elotuzumab, the patient suffered from a pneumogenic sepsis due to staphylococcus infection that required mechanical ventilation for 7 days. Antimicrobial therapy followed antimicrobial susceptibility testing and included Tazobactam, Piperacillin, and Fosfomycin. During his hospital stay, computed tomography images of the chest were acquired initially, i.e. at onset of pneumogenic sepsis (Figure 1.: left panel), as well as after 10 weeks (Figure 1: right panel) to follow-up pneumonia consolidations in both upper lung lobes. Surprisingly, non-contrast enhanced follow-up CT images revealed newly developed calcifications within the outer myocardial layers of the left ventricle.
Figure 1.Non-contrast enhanced CT scans of the chest initially during onset of pneumogenic sepsis (right) and after 10 weeks (left) show rapid development of non-preexisting, extensive myocardial calcifications.
Only very few reports exist describing myocardial calcification as sequela from severe sepsis. Explanations attribute alterations of myocardial microcirculation to cause subsequent tissue necrosis during septic shock and capillary leak and relative capillary stasis.1 Resulting interstitial and intracellular edema, and consecutive mitochondrial destruction and cellular necrosis.2 In other cases, myocardial calcifications have been described as complication resulting from myocarditis.3
In general, myocardial calcifications are associated with myocyte necrosis due to severe infection or inflammation, and can lead to restrictive cardiomyopathy. Differential diagnoses include calcifications of the inner myocardial layers, which can be detected after myocardial infarction, and pericardial calcifications that indicate constrictive pericarditis.
References
Cited by (6)
This article has been cited by 6 scholarly works according to:
Citing Articles:
Radiology: Cardiothoracic Imaging (2021) Crossref
Radiology Cardiothoracic Imaging (2021) OpenAlex
Joy Li, Lydia Chelala, Rydhwana Hossain, J. Jeudy, C. White - Radiology: Cardiothoracic Imaging (2021) Semantic Scholar
Journal of Forensic and Legal Medicine (2020) Crossref
Journal of Forensic and Legal Medicine (2020) OpenAlex
Simone Cappelletti, D. Piacentino, C. Ciallella - Journal of Forensic and Legal Medicine (2020) Semantic Scholar
BMJ Case Reports (2019) Crossref
BMJ Case Reports (2019) OpenAlex
Talha Ahmed, Faisal Inayat, M. Haq, Taha Ahmed - BMJ Case Reports (2019) Semantic Scholar
