Implant Anchorage in Orthodontic Retrusion: A Case Report
Abstract
Mini screws represent a new treatment modality in orthodontic biomechanics. They provide absolute anchorage, no secondary movements and reduced orthodontic treatment time. Futhermore, the surgical procedure for mini implants placement is quite simple and this type of treatment requires no patient compliance. We selected a clinical case in order to emphasize one of the most important indications of the mini implants: retrusion of the upper incisors for a incresed overjet case in a young patient. Two mini implants were placed in order to obtain the correction of the overjet and the retrusion of the anterior teeth. The retrusion was obtained in a reduced period of time using retraction devices on crimpable hooks.
Author Contributions
Academic Editor: Allauddin Siddiqi, Sir Johan Walsh Research Institute, University of Otago
Checked for plagiarism: Yes
Review by: Single-blind
Copyright © 2019 Camelia Szuhanek, et al.
This is an open-access article distributed under the terms of the Creative Commons Attribution License, which permits unrestricted use, distribution, and reproduction in any medium, provided the original author and source are credited.
Competing interests
The authors have declared that no competing interests exist.
Citation:
Introduction
In the past years, mini implants were widely used for different orthodontic situations (uprighting, retrusion of anterior teeth in extraction cases, molar intrusion in anterior open bites, molar protraction, palatal expansion, etc.).
The orthodontic (mini)implants simplify the biomechanics in multiple situations and, in terms of anchorage, they eliminate the need for auxiliary appliances 1, 2, 3. The literature regarding orthodontic implants is extensive, and their introduction respresents a revolution in orthodontic strategy 1, 2, 3, 4, 5, 6, 7, 8. Treatment planning must include radiographic examination for an accurate placement position. In more difficult cases, surgical guides can be manufactured in order to obtain a very precise position of the mini screws. The surgical procedure has a low morbidity rate but in some cases special considerations must be taken into account: the thickness of gingival mucosa (especially in patients with a thin gingival biotype), root morphology and disposition (crowding cases), age (due to a higher bone density in older patients), hygiene and mini screw type (dimensions, design and chemical composition). All the factors stated above must be considered in order to minimize implant failure. Treatment planning must also include a good evaluation of the case in order to establish the type of anchorage that needs to be used regarding mini implants: direct or indirect. Usually, in class II patients, with upper first bicuspids extractions, direct anchorage is used in the initial phase of the treatment (2-4 mm retraction of the upper teeth) and then the orthodontist can switch to indirect anchorage in order to prevent interferences 4, 5.
Flared or protruded maxillary teeth ar usually encountered orthodontic patients with oral habits in history. In order to obtain a good overjet and a better incisor display, mini implants or mini plates can be used for the retrusion of the upper anterior teeth 6.
Case Report
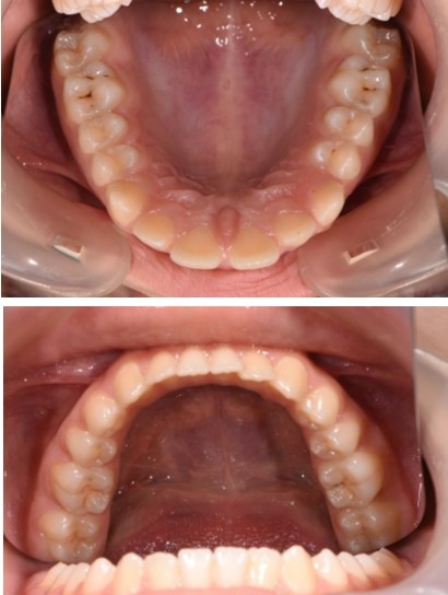
In order to emphasize one of the major indications of skeletal anchorage with mini implants, a clinical case was selected. A young teenage patient (Figure 1, Figure 2, Figure 3, Figure 4), with a severe overjet, flared upper incisors with spacingand a convex profile was reffered to our dental office. Treatment objectives were established from the beggining: retrusion of the upper anterior teeth, overjet and overbite correction, space closure and obtaining a better occlusion. Anchorage needs were evaluated. Absolute anchorage was needed in order to obtain upper dental retrusion without mesial movement of the posterior teeth. Two mini implants were placed bilaterally, in a labial position, between the second premolars and upper first molars. Both mini plates and mini implants provide a predictable result in this case but since mini implants are more easy to place and provide a higher degree of comfort, this option seemed more suitable. In this way, the need for other anchorage devices, such as a palatal arch or headgear was eliminated. The upper incisors and canines can be now distalized and intruded, after the upper premolar extraction.
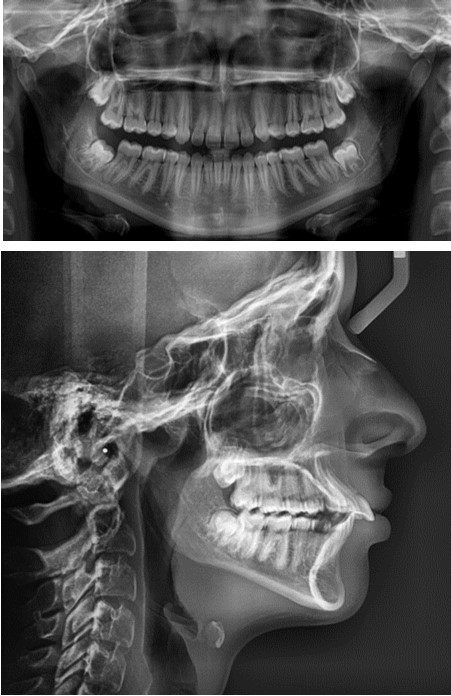
Figure 1.The OPG and ceph radiograph of our patient
Figure 2.Initial intraoral view of the case before orthodontic treatment – occlusal view.
Figure 3.Initial intraoral view of the case before orthodontic treatment – occlusal view.
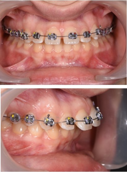
Figure 4.Treatment start - Orthodontic appliance on the upper arch, Roth 022" prescription.
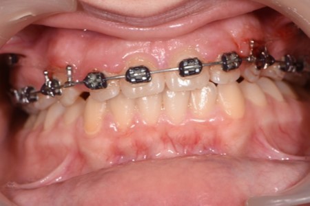
Treatment started with orthodontic appliances on the upper arch, Roth 022" prescription. In order to achieve a better retraction of the upper teeth, first bicuspids were extracted. Retraction of the upper incisors with elastics chains placed from crimpable hooks to orthodontic implants.
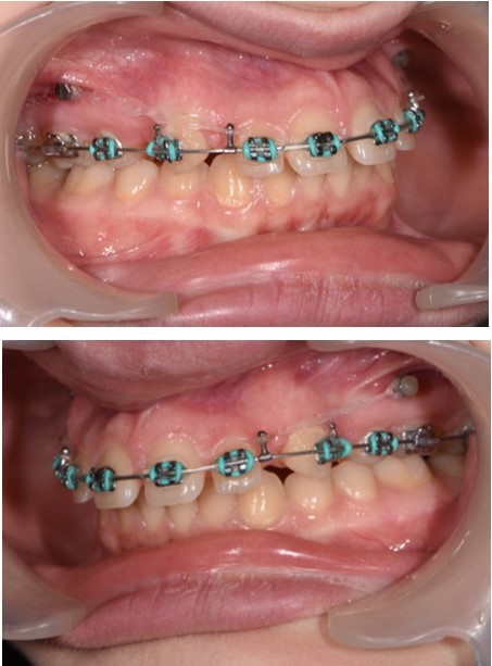
The working stage of the treatment was done with the use of a rectangular stainless steel archwire 0.019”x0.025” (Figure 5, Figure 6). Bodily movement was obtained and a minor intrusion. The incisal edges were displaced backward in order to provide a better incisal display at rest and during the smile. Unlike palatal arches, where the retraction is done by tipping the incisors, the mini implants in our case were able to provide a bodily retraction of the upper anterior teeth. Therefore, retraction was obtained with no anchorage loss. The improvement in the overjet and overbite was good.
Figure 5.Retraction of the upper incisors with elastics chains placed from crimpable hooks to orthodontic implants.
Figure 6.Significant overjet and overbite improvement after implant based orthodontic retraction.
Results of the Case Report
The labial inclination of the incisors was corrected and better torque values were obtained. With the use of the temporary anchorage devices, a total of 7 mm of retraction was done in this case.
By moving the incisal edges backward, the upper lip position in regard to the upper frontal teeth was modified. The new position of upper teeth will play a major role in maintaining stability and preventing relapse. A more stable contact was obtained between the incisal edges of the lower anterior teeth and the palatal surface of the upper frontal teeth.
Discussions
Orthodontic implants positioning is a very important factor in anterior retraction in class I and II patients with alveolar and dental upper protrusion. While conventional procedures can lead to the extrusion of the upper teeth and anchorage loss, bone anchorage can provide a better alternative, especially in gummy smile patients 9. Uncontrolled tipping of the frontal teeth can be avoided by increasing the length of the coil spring/ power arm. The indications of orthodontic implants in the occlusal correction are wide10, 11, 12, as shown in our previous work, where the palatal implants were used in order to achieve posterior intrusion13.
Conclusion
Whenever the interradicular space provides enough stability and bone quality is appropriate, skeletal anchorage is the best alternative in orthodontic biomechanics.
References
- 1.Alijhani A, K H Zawawi. (2010) The use of mini-implants in en masse retraction for the treatment of bimaxillarydentoalveolar protrusion. , Saudi Dent J 22(1), 35-39.
- 2.Sung S J, G W Jang, Y S Chun, Y S Moon. (2010) Effective en-masse retraction design with orthodontic mini-implant anchorage: a finite element analysis. , AJODO 137(5), 648-57.
- 3.A S Salma. (2014) Assessment of changes following en-masse retraction with mini-implants anchorage compared to two-step retraction with conventional anchorage in patients with class II division 1 malocclusion: a randomized controlled trial. , Eur J Orthod 36(3), 275-283.
- 4.Hedayati Z, Shomali M. (2016) Maxillary anterior en masse retraction using different antero-posterior position of mini screw: a 3D finite element study. Progress in Orthodontics 17-31.
- 5.Moraes Arantes F. (2012) Mini-implant and Nance button for initial retraction of maxillary canines: a prospective study in cast models. , Dental Press J. Orthod 17, 4.
- 6.Upadhayay M, Yadav S. (2007) Mini-implants for retraction, intrusion and protraction in a Class II division 1 patient. , Journal of Orthodontics,vol.34,3
- 7.Upadhyay M, Yadav S, Nanda R. (2014) Biomechanics of incisor retraction with mini-implant anchorage. , Journal of Orthodontics, Sup.1 41, 1.
- 8.Y C Tseng, C H Hsieh, Chen C H. (2006) The application of mini-implants for orthodontic anchorage. , International Journal of Oral and Maxillofacial Surgery 35, 704-707.
- 9.Park H, Lee K, Kwon W. (2005) Group distal movement of teeth using microscrew implant anchorage. , The Angle Orthodontist,no.4 75, 602-609.
- 10.Biju S. (2014) Mini-Implants: New Possibilities in Interdisciplinary Treatment Approaches, Case Reports in Dentistry. , Vol.2014
- 11.Gore K. (2015) Distalization of maxillary arch and correction of Class II with mini-implants: A report of two cases. , Contemporary Clinical Dentistry,no.2 6, 226-232.
