Glandular and Cystic Bladder Cystitis: Case Report and Review of the Literature
Abstract
Glandular-cystic bladder cystitis is a rare, benign non-tumor condition, preferentially located on the area of the bladder trigone and can simulate a malignant tumor. It is a benign reactive metaplasia of the bladder submucosa, characterized by hyperplasia of the islets of Von Brunn and cystic. It is classified among reactive epithelial anomalies of the urothelium, such as islet hyperplasia of Von Brünn, cystitis, glandular cystitis, nephrogenic metaplasia and epidermoid metaplasia.
It presents a clinical diagnostic challenge having the expression of a simple recurrent cystitis and misleading the radiological diagnosis evoking a malignant tumor of the bladder. Its certainty diagnosis is histological. We report the case of a 38-year-old young man who consulted for recurrent cystitis. The CT scan showed a vegetative tissue structure of the middle and left medial vesical floor, sawtooth 3 cm long axis suspecting a tumor of the bladder. The patient underwent transurethral resection of the bladder lesion. The histological and immunohistochemical examination concluded with glandular and cystic cystitis (minor form). In the light of this observation, we will discuss the diagnostic difficulties, the pathophysiological mechanisms, the radiological aspects, the anatomopathological, therapeutic features and the prognosis of this rare condition.
The literature regarding this entity has been reviewed and the differential diagnosis was discussed.
Author Contributions
Academic Editor: Ayse Yesim Gocmen, Bozok University School of Medicine, Biochemistry Department, Yozgat, Turkey.
Checked for plagiarism: Yes
Review by: Single-blind
Copyright © 2020 M. Darouichi
This is an open-access article distributed under the terms of the Creative Commons Attribution License, which permits unrestricted use, distribution, and reproduction in any medium, provided the original author and source are credited.
Competing interests
The authors have declared that no competing interests exist.
Citation:
Introduction
Glandular and cystic cystitis of the bladder is a rare and benign condition with an incidence of less than 1%, predominantly male. Only about a hundred cases have been reported in the literature. It is defined as a proliferative lesion of the bladder epithelium secondary to a chronic irritative reaction. Its predefined seat is the bladder trigone area and can simulate a malignant tumor. His diagnosis of certainty remains histological. In this article, we present a case of a 38-year-old man with the minor form of glandular and cystic cystitis occurring in the context of recurrent cystitis.
Observation
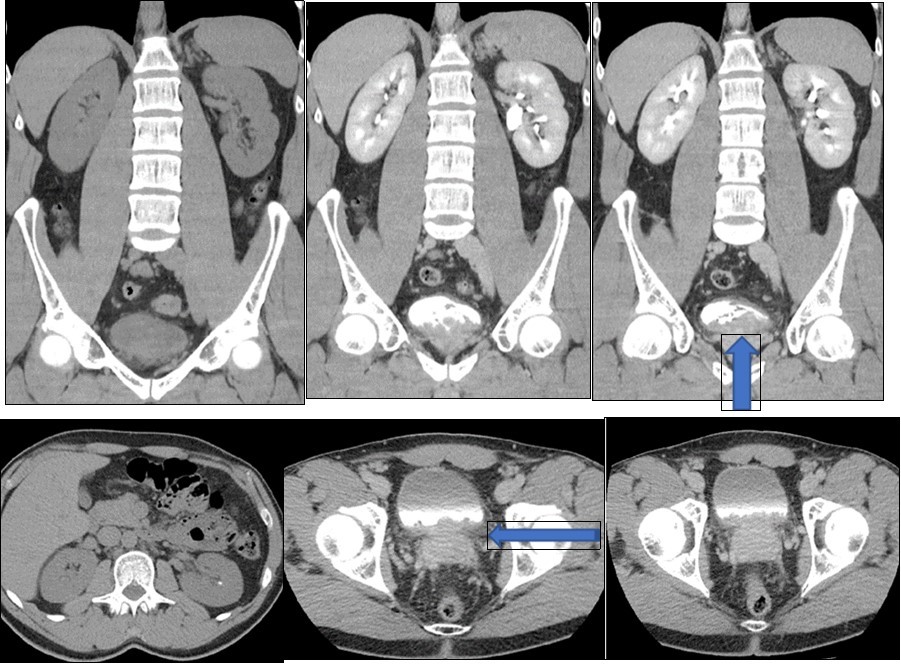
A young 38-year-old man, with no pathological history, consults for cystitis evolving for 4 months. The patient's clinical examination is normal. Laboratory test results and urine studies were unremarkable. The abdomin-pelvic ultrasound revealed an echogenic intra vesical tissue structure of its lower part, 2 cm thick. Thickening of the bladder wall without bilateral ureteropelocalitial dilation. The prostate is normal. The tomodensitometric examination (CT) finds a vegetative mass of the homogeneous bladder floor increasing after injection of contrast product which extends towards the left ureteral meatus without uretero-hydronephrosis. The posterior wall of the bladder is thickened with invasion of the inter vesical-prostatic fat. The rectal perineal fat was respected. No retro peritoneal or pelvic lymphadenopathy (Figure 1). Calculation of the left kidney of 2 mm non obstructive. Kidney function and morphology are normal. Cystoscopy shows a solid, polyp-like lesion covered with normal looking mucosa that has been completely resected.
(Figure 1), vegetative mass of the homogeneous bladder floor increasing after injection of contrast product extends to the left ureteric meatus without uretero-hydronephrosis. The posterior wall of the bladder is thickened without invasion of the inter vesico-prostatic fat (large arrow). The rectal perineal fat was respected. Calculation of the left kidney of 2 mm non obstructive (fine arrow).
In histology, the samples were included in full. They involved a bladder lining lined with a regular epithelium (Figure 2).
Diagnosis
Glandular and cystic cystitis (minor form) with numerous islets of Von Brunn which contain reddish, PAS-positive material. The islets are partly dilated, have grouped and form nodules up to approximately 2 mm in maximum diameter, from which the focal pseudo-tumor appearance results.
It is not histologically a glandular cystitis (major form) with intestinal metaplasia with cylindrical goblet cells and / or Paneth cells. There is no tumor.
No postoperative complications and the evolution is favorable. The patient was followed up with cystoscopy after 18 months, there was no evidence of recurrence.
Discussion
Glandular and cystic bladder cystitis (CGK) is a rare, non-tumor benign metaplasia. It is currently known as "Von Brunn nests" and cystic cystitis and classified by the WHO as an intermediate neoplasia 1. It sits in different organs: the lungs, the pancreas, the mesentery and the uterus. Bladder localization is very rare and occurs at any age with an incidence of 2.4% in children with recurrent urinary tract infection 2. It is observed in the young subject with a male predominance and appears the old subject 2. Its overall clinical incidence is less than 1% 3. Only a hundred cases have been reported in the literature 4.
Benign bladder CGK is defined as a glandular metaplasia of the bladder mucosa and submucosal urothelium 5. Its discovery is based on studies of this metaplasia of the urothelial mucosa.
In 1761, Morgani was the first to describe that chronic inflammations of the bladder can change the lining of the urinary tract 6. Followed by Jonson in 1816 then by Rayer in 1873 and Rokitansky in 1861 7. A century later, the first microscopic description of cystic formations was made and attributed to Van Litten in 1876 8. Subsequently, the nest structures, called "Van Brunn's nest" were found during chronic infection by Limbeck in 1887 and Van Brunn in 1893 9. Finally, the histological appointment of cystic cystitis and glandular cystitis returns to Stoerck and Zuckerkandl who found that cystic structures evolve in two ways, either as a mature cyst or as a true gland 10.
In the light of this histological discovery, cystic and glandular cystitis represent an anatomoclinical entity with two forms 11:
1) The cystic cystitis form (minor form), as in our observation, is a cystic metaplasia of the islets of Von Brunn located in the chorion. These are small submucosal bubbles of 1 to 5 mm, located on the trigone and the lateral faces of the bladder.
2) The glandular cystitis form (major pseudo-tumor form) is a glandular metaplasia of the epithelium which borders the cysts with production of mucus and polypoid masses at the level of the bladder trigone.
Regarding the etiopathogenesis of the CGK, it remains unknown to this day and several theories try to give an explanation to this metaplasia. Only two have been able to demonstrate the origin of this condition and which are currently recognized: the metaplastic theory and the embryonic theory.
1) The embryonic theory is based for certain authors that intestinal germ cells migrate towards the bladder during its separation from the rectum at the fifth week of embryonic development and are at the origin of glandular cystitis 12.
2) Metaplastic theory shows that glandular cystitis is a metaplastic transformation of the transitional epithelium in response to an irritant attack by stones, prolonged urinary stasis, urinary tract infection or tumors 13.
However, certain clinicopathological parameters are correlated in the development of CGK, namely,
CGK is associated in 75% of cases with pelvic lipomatosis and bladder dystrophy. They are factors favoring the development of CGK and a risk factor for malignant transformation of the bladder epithelium into adenocarcinoma. 14
The chronicity of bladder infections and inflammations are also correlated with the development of CGK. Poly bacterial bladder infection is described with a rate of 9% of cases 15. Radiation therapy and chemotherapy can also induce proliferative lesions of glandular cystitis 16.
The coexistence between glandular cystitis and malignant tumors of the bladder (urothelial carcinoma, adenocarcinoma, squamous cell carcinoma) and are diagnosed is estimated between 10% and 42% 17. The neoplastic transformation of CG into adenocarcinoma or urothelial carcinoma has been described in the literature.
Currently, the hypothesis of an immune mechanism in the development of CGK is advanced. An abnormal disposition of IgA is found on the surface of transitional bladder cells in the cgk, whereas normally IgA is localized in the cytoplasm of normal bladder cells 18.
Finally, other risk factors for the development of glandular and cystic cystitis are found such as, chronic bladder catheterization, a neurogenic bladder, avitaminosis, allergy to toxic and carcinogenic products.
However, in many cases, no cause is identified 19.
Clinical
Its clinical expression is not very specific with most asymptomatic cases. Some patients complain of cystitis to varying degrees, such as pollakiuria, urinary urgency and dysuria. Hematuria remains the most common tell-tale sign 20. The clinical examination is poor but in case of trigonal localization, obstructive symptoms may appear. The pseudo-tumor proliferative form causes intramural compression of the distal ureteral segments and development of uretero-hydronephrosis or even chronic renal failure late.
Radiology
Due to the absence of characteristic ultrasound signs of CGK, except for exophyte papillary lesions that cause irregular thickening of the bladder wall, Ultrasound has only an orientation value and can only provide recommendations for further evaluation 21. Computed Tomography is the reference study of the urinary shaft in its entirety and contributes to the investigation of the causal factor such as kidney stones as in our case or a pelvic lipomatous. It often shows a simulated appearance of vesical carcinoma as in this observation by thickening the tissues and infiltration of the base of the bladder 22. The MRI by its sequences and different planes shows an infiltration of the peri-vesical fat, of the para-vesical muscles by the lesion evaluating its locoregional evolutionary stage. Therefore, there is no indication of MRI in the diagnosis of glandular cystitis because there are no specific signs of differentiation with a malignant bladder injury 23.
Cystoscopy
At the same time allows a direct vision of the bladder lesion, to show its macroscopic appearance, its topography, its extension and the carrying out of biopsies in various places, essential for the final diagnosis. It objective an exophytic polypoid or nodular vesicle mass, sometimes ulcerated with a broad implantation base 24 with a mucosa usually presenting a pavement pattern. The final diagnosis is made only by pathology.
Cytologically, urine tests are negative in most cases, but an experienced pathologist may suggest the diagnosis of glandular cystitis which must be confirmed by histology 25.
In histology, in a first phase, the proliferation of urothelial cells to the chorion, leads to the formation of "nests VON BRUNN". These islets or nests of urothelial cells develop a central light. This light is lined with secreting cells giving rise to the formation of real glandular structures that can take on a pseudo-colonic appearance with the presence of goblet cells. Sometimes, the light from these islets of VON BRUNN extends to form real cysts containing colloid matter. At this stage, the separation between cystic and glandular cystitis is not histologically well defined.
Immunohistochemistry comes to highlight features not visible in simple histology. Chromogranin immunostaining highlights spindle-shaped endocrine cells in the nests of Von Brünn, of glandular cystitis 26 between the epithelial cells and contains intracytoplasmic neuroendocrine granules positive for silver staining of Grimelius.
Ultimately, the histological immune analysis makes it possible to distinguish the frequent pure cystic cystitis, as in our observation, developed from the islets of Von Brunn cyslized with accumulation of mucin, of the glandular form or the unstratified muciparous cells form glands in the superficial chorion without atypia or mitosis 27.
However, an anatomohistochemical correlation is important because glandular cystitis is considered as a pre-cancerous lesion, generating adenocarcinoma, unlike cystic cystitis which is without risk of malignant transformation.
The differential diagnosis really arises only for tubular or tubulopapillary pseudo-tumor forms which must be distinguished 28,
Infiltrating adenocarcinoma of the bladder and the florid form of glandular metaplasia with real pseudo-tumor masses 29. There are 3 types, primary adenocarcinoma, uracic adenocarcinoma and metastatic adenocarcinoma.
Endo-cervicosis described for the first time by Clement and Young in 1992 appears only in women 30. It is in the form of a painful isolated bladder nodule of variable size up to 3 cm at the level of the bladder dome and the posterior wall of the bladder. Histologically, it is characterized by glands located exclusively in the musculature unlike glandular cystitis where the glandular structures are in the lamina propria.
From the nephrogenic adenoma described by Davis in 1949 for the first time 31. Histologically, the tubular structure is common under the urothelium without deep muscle invasion.
Treatment for this condition should be based on eliminating the causative factor of bladder irritation by long-term antibiotic therapy and / or lithotripsy and transurethral surgical excision of the bladder inflammation area.
Cystectomy is reserved for rare serious cases of extensive lesions with recurrent hematuria and obstruction of the urinary tract. Endo vesical instillations of hydrocortisone or low molecular weight heparin or antihistamine may improve symptoms without any effect on the tumor 32.
The evolution of glandular or cystic cystitis is favorable and disappears after removal of the pathological areas and treatment of the favorable causes. However, some causes do not have a cure for complete healing, such as pelvic lipomatosis for example. In these rare cases, the transformation into a bladder adenocarcinoma is certain and estimated at 0.5 to 1% of bladder tumors 33.
Conclusion
CGK is a rare lesion in the bladder midway between benign and malignant tumors. Often asymptomatic and radiological and endoscopic signs are suggestive of a malignant tumor. His diagnosis of certainty remains histological. It must be identified early in order to prevent patients from needlessly undergoing repetitive treatment with ATB. The treatment aims to eliminate irritants and endoscopic resection of endovesical masses. Developments are uncertain and require long-term monitoring.
Acknowledgment
We thank Aida Darouichi for professional advice and support during this study.
References
- 1.J I Epstein, M B Amin, V R Reuter, F K Mostofi. (1998) The world health organization/international society of urological pathology consensus classification of urothelial (transitional cell) neoplasms of the urinary bladder. Bladder consensus conference committee. , Am. J. Surg. Pathol; 22, 1435-1448.
- 2.DEFOOR William, MINEVICH Eugene, SHELDON et. (2002) Unusual bladder masses in children. , Urology vol, 60-5.
- 3.SEMINS Michelle Jo et SCHOENBERG, Mark P. (2007) A case of florid cystitis glandularis. Nature Clinical Practice Urology. 4(6), 341-345.
- 4.Aarathi R RAU, KINI Hema, Radha R PAI. (2009) Morphological evaluation of cystitis glandularis. , Indian Journal of Pathology and Microbiology 52(2), 203.
- 5.SUN Tung-Tien. (2006) Altered phenotype of cultured urothelial and other stratified epithelial cells: implications for wound healing. , American Journal of Physiology-Renal Physiology 291(1), 9-2.
- 7.F S PATCH, L J RHEA. (1935) The genesis and development of Brunn's nests and their relation to cystitis cystica, cystitisglandularis, and primary adenocarcinoma of the bladder. , Canadian Medical Association Journal 33(6), 597.
- 8.Harry D MORSE. (1928) The etiology and pathology of pyelitis cystica, ureteritis cystica and cystitis cystica. The American journal of pathology. 4(1), 33.
- 9.RIAZ. (2012) cystitis cystica and cystitis glandularis causing ureteral obstruction. The journal of urology. 187(3), 1059-1060.
- 10.Herman L KRETSCHMER. (1951) Cystitis glandularis and follicularis. , The American Journal of Surgery 82(2), 198-201.
- 11.Semins M J, Schoenberg M P. (2007) A case of florid cystitis glandularis. , Nat Clin Pract Urol 4, 341-345.
- 12.BILLEREY C et SIBONY, M. (2001) Anatomie pathologique des tumeurs superficielles de la vessie. Progrès en urologie. 11(5), 805-863.
- 13.BORDA Angela, Myriam Decaussin PETRUCCI, BERGER et, Nicole. (2004) Lésions bénignes diverses de la vessie et de la voie excréto urinaire. In : Annales de Pathologie. Elsevier Masson 6.
- 14.Fariña L A. (1992) Re: Pelvic lipomatosis associated with cystitis glandularis and adenocarcinoma of the bladder. , J Urol 147-1380.
- 15.LIU Xiaogang, CHEN Zhiqiang, et Y E, Zhangqun. (2007) Etiological study on cystitis glandularis caused by bacterial infection. , Journal of Huazhong University of Science and Technology [Medical Sciences] 27, 678-680.
- 16.T Y CHAN, J I EPSTEIN. (2004) Radiation or chemotherapy cystitis with pseudocarcinomatous features. , J. Urol 28, 909-913.
- 17.Edwards P D, Hurm R A, Jaeschke W H. (1972) Conversion of cystitis glandularis to adenocarcinoma. , J Urol 108, 568-570.
- 19.PARKER C. (1970) Cystitis cystica and glandularis: a study of 40 cases. , Proceedings of the Royal Society of Medicine 63(3), 239.
- 20.DAVIES G, D E OSBORN, CASTRO et, E J. (1978) Pelvic lipomatosis with associated cystitis glandularis. , Urology 11(5), 494.
- 21.GHEZALA Wassim, SAIDI Radhia, LEFI Mounir. (2005) La cystite glandulaire floride. Prog Urol. 15, 1141-4.
- 22.ROBERT H DANN, PETER H ARGER, ENTERLINE et, HORATIO T. (1972) Benign proliferation processes presenting as mass lesions in the urinary bladder.American. , Journal of Roentgenology 116(4), 822-829.
- 23.Rocher M Claudon L, Cluzel C Roy G, M F Bellin.Imagerie des tumeurs rares et des pseudotumeurs de la vessie,Journal de RadiologieVolume 90, Issue 10, Octobre. 1415.
- 24.Jade J WONG-YOU–CHEONG, Paula J WOODWARD, Maria A MANNING. (2006) . Inflammatory and Nonneoplastic Bladder Masses: Radiologic-Pathologic Correlation1. Radiographics 26(6), 1847-1868.
- 25.KAPILA KUSUM, VERMA KUSUM. (1996) Cytology of cystitis cystica glandularis of the bladder--a case report. , Indian Journal of Pathology and Microbiology 39(4), 303.
- 26.Benchakroun A, Zannoud M, Nouini Y, Bernoussi Z, Kamouni M et al. (2002) Métaplasie colique pseudo tumorale de la muqueuse vésicale. Prog. Urol 12, 325-328.
- 27.SRIVASTAVA Supriya, YAN Benedict, Sze Yung CHIN. (2012) Nuclear p53 expression is associated with allelic imbalance (TP53) in glandular dysplasia and typical cystitis glandularis: an LCM-based molecular analysis. , Clinical Genitourinary Cancer 10(1), 57-59.
- 28.O’Brien A M, Urbanski S J. (1985) Papillary adenocarcinoma in situ of bladder. , J Urol 134, 544-546.
- 29.Edwards P D, Hurm R A, Jaeschke W H. (1972) Conversion of cystitis glandularis to adenocarcinoma. , J Urol 108, 568-570.
- 30.Hyoung Joong KIM, Tae Jin LEE, Mi Kyung KIM. (2001) . , Muellerianosis of the Urinary Bladder, Endooervicosis Type. J Korean Med Sci 16, 123-6.
- 31.GHEZALA Wassim, SAIDI Radhia, LEFI Mounir. (2005) La cystite glandulaire floride. Prog Urol. 15, 1141-4.
Cited by (2)
This article has been cited by 2 scholarly works according to:
Citing Articles:
Radiology Case Reports (2024) OpenAlex
Radiology Case Reports (2024) Crossref
Imad Bougrine, K. Imrani, Amine Naggar, H. Retal, N. M. Billah et al. - Radiology Case Reports (2024) Semantic Scholar


