Sotos Syndrome, Isolated Left Ventricular Non Compaction Cardiomyopathy and Ventricular Pre Excitation: A Case Report.
Abstract
We report the case of a 22 year-old-male patient affected by Sotos syndrome was preoperatively and urgently evaluated for tracheal stent implantation due to respiratory insufficiency caused by idiopathic tracheal stenosis.
Rest electrocardiogram detected a ventricular pre excitation; a transthoracic echocardiography showed a classic pattern fulfilling criteria for isolated left ventricular non compaction. At the best of our knowledge this is the first report of a patient suffering from Sotos syndrome and simultaneously affected by isolated left ventricular non compaction and ventricular pre excitation.
Author Contributions
Academic Editor: Sanjiv Sharma, Chairman, Dept of Medicine Director, Research and Education Chairman, Health Education and CME Committee, Interventional Cardiologist , Central Cardiology Medical Clinic, Bakersfield Heart Hospital. USA.
Checked for plagiarism: Yes
Review by: Single-blind
Copyright © 2013 Marco Sassara, et al.
This is an open-access article distributed under the terms of the Creative Commons Attribution License, which permits unrestricted use, distribution, and reproduction in any medium, provided the original author and source are credited.
Competing interests
The authors have declared that no competing interests exist.
Citation:
Letter to the Editor
A 22 years old male affected by Sotos Syndrome underwent urgent preoperative cardiologic evaluation for an endoscopic tracheal stent implantation because of a respiratory insufficiency due to idiopathic tracheal stenosis.
Two month before he was discharged from another Hospital with diagnosis of pericarditis and apical hypertrophic cardiomyopathy.
At physical examination he presented the common features of Sotos syndrome: characteristic facial appearance, a moderate to severe delayed cognitive and motor development, a severe kyphoscoliosis, epilepsy anamnesis and respiratory tirage due to “idiopathic tracheal stenosis”.
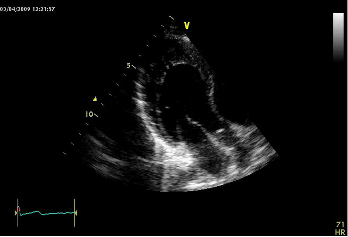
Rest electrocardiogram showed sinus tachycardia 110/m and no other anomalies. Nevertheless an ECG performed in the operatory room next day showed sinus tachycardia and a ventricular pre excitation compatible with a right anterolateral accessory pathway (Figure 1). The transthoracic echocardiogram performed in the same day demonstrated only left ventricle posterior apex, inferior and lateral wall mild thickening; furthermore, it showed two layered structure with numerous prominent trabeculae and deep intertrabecular recesses directly communicating filled with left ventricular cavity as assessed by Color Doppler. The ratio between tick non compacted layer and thin compacted part measured at end systole in short axis was > 2, according Jenni criteria for isolated left ventricular non compaction (ILVNC) (Figure 2) 1,2.
Figure 1.Sinus tachycardia and ventricular pre excitation
Figure 2.Echo image focused on infero-lateral apical segment of left ventricle
Left ventricular ejection fraction was normal and any other pathology was excluded.A successful tracheal stent implantation was performed and he was discharged in good condition after two days. Cardiac MRI was not promptly performed because of his psycho-physical condition and recent stent implantation as well as electrophysiological study (because he was asymptomatic). Clinical, echocardiographic and Holter monitoring follow up had been planned. Genetic tests are still in progress.
Informed consent was obtained from the patient and the study conforms to the ethical guidelines of the 1975 Declaration of Helsinki.
Sotos syndrome is a rare (1:14,000 newborns) genetic disorder diagnosed according to the following criteria: overgrowth with advanced bone age, macrocephaly, facial characteristics (i.e., prominent forehead, receding hairline, hypertelorism with down slanting palpebral fissures, prominent jaw and pointed chin), and learning difficulties 3.
It is due to a mutation or deletions in NSD1 gene located at chromosome 5q35 (discovered in 2002) and coding for a histone methyltransferase implicated in transcriptional regulation This genetic alteration account for more than 75% of cases 4, 5.
According to heart related diseases, Sotos syndrome shows atrial and or ventricular septal defects, patent ductus arteriosus, truncoconal anomalies in 25% of cases. Nevertheless, at the best of our knowledge only one case is associated with ventricular pre excitation 6, and 2 cases 1, 2 with ILVNC.
ILVNC and SOTOS Relationship:
ILVNC is a myocardial disorder maybe due to failure in compactation process during myocardial embryogenesis; in 2006 the American Heart Association classified ILVNC as a genetic cardiomyopathy 7. Despite genetic heterogeneity, its inheritance is autosomal dominant/ recessive in adult, X-linked in children. Some cases are caused by the loss of cardiac specific gene, named CSX, mapped on 5q chromosome, thus the same involved in Sotos syndrome 8. Furthermore, subtelomeric defects account for facial anomalies. Alterations in subtelomeric sequences of chromosome 5q can be outlined both in Sotos syndrome 9 and ILVNC.
ILVNC and Ventricular Pre Excitation Relationship:
ILVNC and accessory pathways (the same involved in ventricular pre excitation) maybe caused by an arrest of normal embryogenesis of endocardium and myocardium in the absence of structural heart disease. For this reason the ventricular pre excitation features have been described in up to 15% of pediatric patient with ILVNC 10.
ILVCN, SOTOS and Ventricular Pre Excitation: The Final Combined Syndrome:
Association of Sotos with ventricular pre excitation is more difficult to explain than Sotos – ILVNC one.
Although 15% of ILVNC present a ventricular pre excitation EKG pattern, at the best of our knowledge only one Sotos syndrome case is associated with ventricular pre excitation 6.
The triple association may be a purely random event; nevertheless genetic studies are still in progress in order to better define the role of NSX and CSX genes and other encoded from long arm of chromosome 5 in this novel and intriguing association. If the results of such research are confirmed, it will be necessary to carry out targeted diagnostic investigation in all Sotos patients in order to exclude or demonstrate the presence of cardiac abnormalities.
References
- 1.Saccucci P, Papetti F, Martinoli R, Dofcaci A, Tuderti U. (2011) Isolated Left Ventricular Noncompaction in a Case of Sotos Syndrome: A Casual or Causal Link? Cardiol Res Pract. 824095.
- 2.Martinez H R, Belmont J W, Craigen W J, Taylor M D, Jefferies J L. (2011) Left ventricular noncompaction in Sotos syndrome. , Am J Med Genet 155, 1115-1118.
- 4.Kurotaki N, Imaizumi K, Harada N, Masuno M, Kondoh T. (2002) Haploinsufficiency of NSD1 causes Sotos syndrome. , Nat Genet 30, 365-366.
- 5.Raca G, Waggoner D J, Kamimura J. (2003) Mutation analysis of the NSD1 gene – genetic testing for Sotos syndrome. , Am J Hum Genet 73, 242.
- 6.Sharma P, Vidaille H, Dietz J. (2003) Patient With Sotos Syndrome, Wolff-Parkinson-White Pattern on Electrocardiogram, and Two Right-Sided Accessory Bypass Tracts. , Am J Med Gen 116, 372-375.
- 7.Maron B J, Towbin J A, Thiene G, Antzelevitch C, Corrado D. (2006) Contemporary definitions and classification of the cardiomyopathies: an American Heart Association Scientific Statement from the Council on Clinical Cardiology, Heart Failure and Transplantation Committee;. Quality of Care and Outcomes Researche and Functional Genomics and Translational Biology Interdisciplinary Working Groups; and Council on Epidemiology and Prevention. Circulation 113: 1807-1816.
- 8.Pauli R M, Scheib-Wixted S, Cripe L, Izumo S, Sekhon G S. (1999) Ventricular noncompaction and distal chromosome 5q deletion. , Am J Med Genet 85, 419-423.
