Rare Lipomatous Neoplasm of The Thigh in A 13 Year Old Male with A Discussion of Imaging Features and Differential Diagnosis of A Fatty Extremity Mass
Abstract
Lipomatous tumors are among the most common primary musculoskeletal neoplasms affecting both pediatric and adult patient populations. Patient age, tumor location, and imaging features all contribute to the differential diagnosis of musculoskeletal tumors. Tumors identified outside of common patient demographics or in unusual locations may lead to preoperative misdiagnosis. We present an uncommon adipocytic tumor occurring at an uncommon age which was proven at surgery to represent a preoperatively unexpected diagnosis. A 13 year old male presented with a fatty anterior proximal thigh mass; age and magnetic resonance findings suggested lipoblastoma. However, following complete surgical resection, histopathology confirmed hibernoma, a benign lipomatous tumor characterized by the presence of white and multivacuolated brown fat cells, the vast majority of which occur in adult patients.
Author Contributions
Academic Editor: Dajun Deng, Peking University Cancer Hospital and Institute, China. Email: [email protected]
Checked for plagiarism: Yes
Review by: Single-blind
Copyright © 2018 Jamie T. Caracciolo, et al.
This is an open-access article distributed under the terms of the Creative Commons Attribution License, which permits unrestricted use, distribution, and reproduction in any medium, provided the original author and source are credited.
Competing interests
The authors have declared that no competing interests exist.
Citation:
Introduction
Lipomatous neoplasms comprise a large and diverse group of fat-containing musculoskeletal tumors ranging from purely benign to highly malignant with potential for distant metastatic disease 1, 2. Patient age, location of disease, and assessment of internal tumor composition at diagnostic imaging are important factors in the construction of a preoperative differential diagnosis 3. Common entities include simple lipoma, atypical lipomatous tumor (ALT), and liposarcoma. However, other benign adipocytic tumors including numerous lipoma variants and lipoblastoma more often affect pediatric and younger aged patients. Careful evaluation of the internal architecture and soft tissue elements within a musculoskeletal tumor at preoperative magnetic resonance imaging (MRI) often allows for accurate prediction of histopathology. However, unexpected etiologies may be diagnosed when rare tumors arise outside of common age ranges or typical sites of disease. The following report illustrates this point in describing a 13 year old male with a lipomatous thigh mass favored to represent lipoblastoma which proved to represent hibernoma.
Case Report
A 13 year old male presented to his local physician with a painless, slowly enlarging palpable mass of the proximal right thigh. Contrast-enhanced MRI was performed which raised concern for soft tissue sarcoma. We were consulted for a second opinion interpretation of the imaging study and recommendations for management. Outside multi-planar and multi-weighted MRI demonstrated a large lipomatous anterior compartmental thigh mass (Figure 1A-D). The mass was predominantly fatty with the majority of the tumor following the signal intensity of subcutaneous fat on both T1-weighted and fat-suppressed images. Internal enhancing nodularity (Figure 1B) and slightly thickened septations (Figure 1C) argued against simple lipoma and did initially raise concern for liposarcoma; however, liposarcomas are extremely rare in children. MRI findings of a slightly complex mostly fat containing mass with mild nodularity and thin internal septations are often seen in atypical lipomatous tumors. While greater than most reported lipoblastomas, patient age was felt to be more suggestive of lipoblastoma than ALT. Imaging features were not consistent with a simple purely fatty lesion such as lipoma and lack of any dominant internal non-adipocytic soft tissue elements argued against dedifferentiated liposarcoma. Under the care of an outside orthopedic surgeon, the patient underwent uncomplicated resection of the mass with negative margins and recovered well following surgery; gross tumor size and description of capsule at outside surgery are not available. Histopathology confirmed a lipomatous neoplasm with mature appearing white adipocytes lacking atypia or nuclear pleomorphism and several internal fibrous septae (Figure 2). Additionally, numerous interspersed multivacuolated brown fat cells with granular eosinophilic cytoplasm were identified yielding a final unexpected pathologic diagnosis of hibernoma.
Figure 1.13 year old male with a fatty proximal right thigh mass. A-B. Axial unenhanced (A) and gadolinium-enhanced (B) fat-suppressed T1-weighted turbo spin echo images demonstrate an anterior compartmental mass largely demonstrating similar signal intensity to subcutaneous fat with internal enhancing nodularity (circle in B). C-D. Coronal T1-weighted turbo spin echo (C) and short tau inversion recovery (D) images demonstrate internal thin internal septations (arrow in C) and internal nodularity with increased STIR signal intensity.
Discussion
Broad differential diagnostic considerations for a space-occupying lesion of the extremity include benign and malignant tumors, infectious and inflammatory pseudotumors including fluid collections (hematoma, abscess), and traumatic etiologies such as myositis ossificans. When neoplasm is suspected, assessment of size, shape, margins, internal composition, surrounding reactive changes, and involvement of adjacent bony and neurovascular structures often allows for accurate preoperative tumor characterization 3. There are many benign and malignant mesenchymal soft tissue neoplasms with differing likelihood based on patient age, sex, and site of disease 1, 2. Across the spectrum of patient demographics and anatomic locations, lipomatous tumors are among the most common primary soft tissue neoplasms.
The imaging evaluation of a suspected musculoskeletal tumor typically consists of orthogonal radiographs and cross-sectional imaging such as computed tomography (CT) or magnetic resonance imaging (MRI). Most fatty tumors appear radiolucent on radiographs, but findings may otherwise be nonspecific; cross-sectional imaging better demonstrates internal architecture allowing for improved tumor characterization 4. Given greater soft tissue contrast allowing for differentiation of intrinsic elements of the mass and improved delineation of critical neurovascular structures, MRI is preferred over CT in the evaluation of soft tissue tumors 5. The identification of internal macroscopic fat, similar in density or signal intensity to subcutaneous fat, differentiates adipocytic from non-adipocytic tumors. Fat appears hypodense with negative Hounsfield units on CT. At MRI, anatomic and well-differentiated neoplastic fat demonstrate hyperintense signal on both T1- and T2-weighted spin echo imaging. Fat demonstrates signal suppression when utilizing fat-saturation techniques such as chemically-selective fat saturation (“fat sat”) or inversion recovery imaging with inversion time (TI) chosen to null the signal of fat. Chemical shift imaging, or “in and out of phase” imaging, is a gradient-echo imaging technique which can identify microscopic or intracellular fat within a lesion, but is less helpful in the evaluation of macroscopic fat.
In adults, lipomatous tumors are common, mostly consisting of benign lipoma, atypical lipomatous tumor, and liposarcoma. Simple lipomas are often encapsulated and may demonstrate thin internal septations (< 1-2 mm), but otherwise appear similar to normal fat. Atypical lipomatous tumors demonstrate increased internal fat stranding and small nodularity compared with lipomas, but lack any dominant non-adipocytic soft tissue mass. The presence of a solid non-lipogenic soft tissue mass within a fat-containing tumor is a pathognomonic feature of dedifferentiated liposarcoma 6.
In children, diagnostic considerations for a fat-containing mass may include lipoma/lipoma variants, lipoblastoma/lipoblastomatosis, and liposarcoma 7. Imaging characteristics are similar to those described above for adult lipomatous neoplasms. As liposarcomas are extremely rare in the pediatric population, most of which represent myxoid liposarcomas, the presence of a complex fatty mass in a child is much more suggestive of lipoblastoma. Soft tissue hemangiomas, common in children, demonstrate foci of internal fat, but mostly tortuous dilated T2-hyperintense fluid-filled blood vessels and serpiginous contrast enhancement. Teratomas, more common in the pelvis and retroperitoneum than the extremities, typically demonstrate fatty elements, but also fluid and calcifications, which are not commonly present in adipocytic tumors.
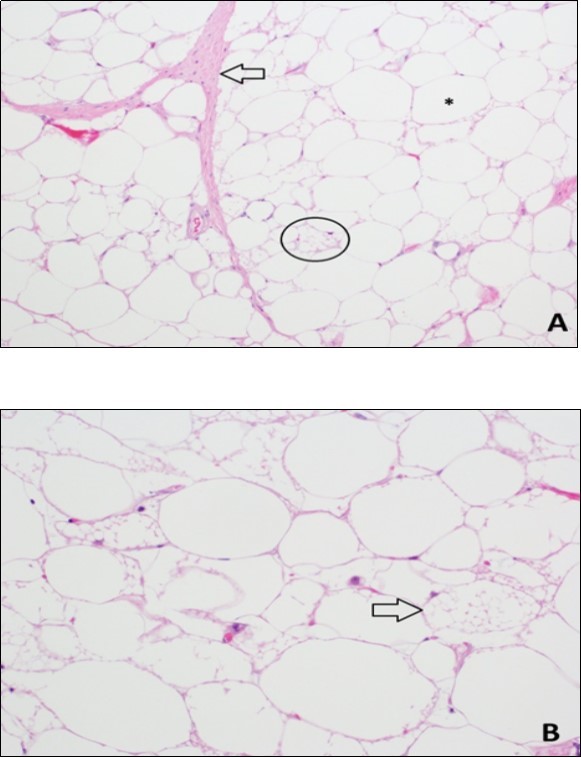
Hibernoma is a benign lipomatous neoplasm most commonly occurring in early to middle aged adults and most often involving the proximal extremities (thigh, arm), neck, and trunk 8. Complete surgical removal is considered curative with no known cases of distant metastatic disease and only limited reports of local tumor recurrence attributed to incomplete resection 8. Histologically, they contain white and brown fat cells, multivacuolated fat cells with eosinophilic cytoplasm and small central nuclei lacking atypia (Figure 2). Nests or regions of densely packed lipoblasts with less intracytoplasmic lipid correlate with internal nodularity seen at MRI, while band-like sheets of fibroblasts form the internal septae. Four histologic variants are recognized: typical, spindle cell, lipoma-like, and myxoid hibernomas 8. These histologic subtypes may demonstrate suggestive imaging features such as a predominance of simple fat (i.e. lipoma-like), a greater degree of internal fat stranding (spindle cell), or areas of myxomatous signal (myxoid), however findings are inconsistently seen at imaging and lack specificity or sensitivity to reliably subtype hibernomas at MRI. As seen herein, simply differentiating hibernoma from other benign lipomatous neoplasms can prove difficult at preoperative imaging. A study performed to assess MRI readers’ ability to distinguish hibernomas from lipomas and atypical lipomatous tumors noted that diffusely decreased T1-weighted signal intensity falling somewhere between fat and skeletal muscle and visualization of dilated internal blood vessels within the mass were the most helpful features in suggesting hibernoma 9. Neither of these findings was appreciated in this case. While the proximal thigh is a common site of disease in hibernoma, the vast majority occur in adults rather than children. In the largest published series to date, 170 hibernomas from the Armed Forces Institute of Pathology were reviewed demonstrating a mean age of 38 years, only 9 of which occurred in pediatric patients 8. Conversely, lipoblastoma is exclusively a tumor of children, most presenting prior to 3 years of age with few reports in teen aged patients 10, 11. Brown fat plays an active role in thermogenesis and is known to demonstrate intense F-18 fluorodeoxyglucose (FDG) uptake on positron emission tomography (PET). Similarly, hibernomas which contain brown fat cells have been shown to demonstrate marked FDG avidity, as opposed to most other benign fatty tumors, which may help correctly identify hibernoma prior to surgery 12. Preoperative PET imaging was not performed in this case.
Figure 2.Histopathology of lipomatous mass. A. Hematoxylin and eosin stain (10X) demonstrates fibrous septae (arrow), mature white adipocytes (*), and multivacuolated brown fat cells (circle). B. Hematoxylin and eosin stain (20X) demonstrates several multivacuolated brown fat cells (arrow) with granular eosinophilic cytoplasm.
In conclusion, several imaging and demographic factors in this case may have contributed to preoperative misdiagnosis. However, the mass was thought and proved to be a benign lipomatous tumor and an appropriate treatment plan including margin negative surgical removal was performed.
References
- 1.Kransdorf MJ.Benign soft-tissue tumors in a large referral population: distribution of specific diagnoses by age, sex, and location. , Am J Roentgenol.1995Feb; 164(2), 395-402.
- 2.Kransdorf M J.Malignant soft-tissue tumors in a large referral population: distribution of diagnoses by age, sex, and location. , Am J Roentgenol.1995Jan; 164(1), 129-134.
- 3.Wu J S, Hochman M G.Soft-tissue Tumors and Tumorlike Lesions: A Systematic Imaging Approach. , Radiology2009Nov; 253(2), 297-316.
- 4.Murphey M D, Carroll J F, Flemming D J, Pope T L, Gannon F H et al.From the archives of the AFIP: benign musculoskeletal lipomatous lesions. , Radiographics2004Sep-Oct; 24(5), 1433-66.
- 5.American College of Radiology Appropriateness Criteria Soft Tissue Masses from www.acr.org. Accessed Aug2017.
- 6.Craig W D, Fanburg-Smith J C, Henry L R, Guerrero R, Barton J H. (2009) Fat-Containing Lesions of the Retroperitoneum: Radiologic-Pathologic Correlation. , RadioGraphics 29, 261-290.
- 7.Navarro O M, Ngan BY LaffanEE. (2009) Pediatric Soft-tissue Tumors and Pseudotumors: MR Imaging Features with Pathologic Correlation Part1. Imaging Approach, Pseudotumors, Vascular Lesions, and Adipocytic Tumors. , RadioGraphics 29, 887-906.
- 8.Furlong M A, Fanburg-Smith J C, Miettinen M.The morphologic spectrum of hibernoma: a clinicopathologic study of 170 cases. , Am J Surg Pathol.2001Jun; 25(6), 809-814.
- 9.Lui W, Bui M M, Cheong D, Caracciolo J T. (2013) Hibernoma: comparing imaging appearance with more commonly encountered benign or low-grade lipomatous neoplasms. , Skeletal Radiol 42, 1073-1078.
- 10.Chung E B, Enzinger F M. (1973) Benign lipoblastomatosis. An analysis of 35 cases. , Cancer 32, 482-492.
