Journal of Nephrology Advances

Journal of Nephrology Advances

Journal of Nephrology Advances

Current Issue Volume No: 1 Issue No: 1

Case Report Open Access Available online freely Peer Reviewed Citation

Acute Bilateral Hydro Nephrosis after the Use of Dapagliflozin

Article Type: Case Report

1Divisions of Endocrinology, Tawam Hospital, Al-Ain, United Arab Emirates.

2Nephrology, Department of Internal Medicine, Tawam Hospital, Al-Ain, United Arab Emirates.

Abstract

Background

Dapagliflozin; the new oral hypoglycemic agent; is a sodium-glucose cotransporter-2 (SGLT2) inhibitor that acts by inhibiting glucose reabsorption in the proximal tubule of the nephron. Main reported side effects are osmotic diuresis, dehydration, urinary tract and genital infections. Here, we report a case of acute bilateral hydronephrosis after the introduction of dapagliflozin.

Case Presentation

A 52 year old nurse lady, with 15 year history of type2 diabetes mellitus (T2 DM) complicated by type4-renal tubular acidosis, hypertension, proteinuria, and hyperlipidemia. Patient had two episodes of UTI’s in 2011 required full urologic work up, were successfully treated with simple courses of oral antibiotics. CT pyelography done in 2011 was normal. Dapagliflozin was added to her therapeutic regimen in March 2015.

Results

Within 48 hours after starting dapagliflozin, she reported increased urine output. Ten days later; she developed severe bilateral loin and lower back pain, followed by suprapubic pain, dysuria and fever. Urine analysis and cultures confirmed E. coli urosepsis.

Renal US revealed echogenic kidneys with 12 mm bilateral hydronephrosis, normal ureters and urinary bladder. Discontinuation of dapagliflozin in April 2015 resulted in resolution of symptoms. Repeat CT of the abdomen in July 2015 revealed no hydro nephrosis.

Conclusions

This is the first case report of reversible bilateral hydronephrosis after the use of dapagliflozin. The cause of hydronephrosis, could be explained by over-diuresis and/or by the unmasking of underlying subclinical obstruction in both uretero-pelvic junctions (UPJ).

Author Contributions
Received 25 Aug 2015; Accepted 20 Jan 2016; Published 02 Feb 2016;

Academic Editor: Mohammad Naghavi-Behzad, Tabriz University of Medical Sciences, Tabriz, Iran

Checked for plagiarism: Yes

Review by: Single-blind

Copyright ©  2016 Bachar Afandi, et al

License
Creative Commons License     This is an open-access article distributed under the terms of the Creative Commons Attribution License, which permits unrestricted use, distribution, and reproduction in any medium, provided the original author and source are credited.

Competing interests

The authors have declared that no competing interests exist.

Citation:

Bachar Afandi, Bassam Bernieh (2016) Acute Bilateral Hydro Nephrosis after the Use of Dapagliflozin. Journal of Nephrology Advances - 1(1):42-47. https://doi.org/10.14302/issn.2574-4488.jna-15-712

Download as RIS, BibTeX, Text (Include abstract )

DOI 10.14302/issn.2574-4488.jna-15-712

Introduction:

The major role of the kidney in human physiology is to maintain intravascular volume and an acid-base electrolyte balance. Approximately 180 liters of plasma pass through the kidney’s glomerular filtration system daily wherein minerals such as sodium, potassium, and chloride are absorbed and returned to the bloodstream rather than passed out in the urine. Glucose is also handled in this manner in order to retain energy essential for physiologic functioning between meals. With a daily glomerular filtration rate of 180 L, approximately 162 g of glucose must be reabsorbed each day to maintain normal plasma glucose concentrations. Reabsorption of glucose occurs mainly in the proximal tubule and is mediated by 2 different transport proteins, SGLT1 and SGLT2. SGLT1, which occurs in the straight section of the tubule (S3), is responsible for approximately 10% of glucose reabsorption in the kidney. The other 90% is mediated by SGLT2, which occurs in the convoluted section on the tubule (S1).1, 2, 3

Sodium–glucose co-transporters SGLT1 and SGLT2 are solute transporters that use the electrochemical gradient of Na+ to actively transport glucose into cells. Mutations in these transporters significantly affect glucose absorption from the gastrointestinal tract (SGLT1) or glucose reuptake from renal tubules (SGLT2) 1, 2, and inhibition of renal glucose reuptake was confirmed to reduce blood glucose levels 4; therefore, several SGLT2 inhibitors have been developed as novel treatment for (T2DM).

Main reported side effects of this group of medications are osmotic diuresis, dehydration, urinary tract and genital infections.

Here, we are reporting the case of our diabetic patient who developed acute bilateral hydronephrosis after the introduction of dapagliflozin, a member of the SGLT2 inhibitors class.

Case Presentation:

A 52 year old nurse with 15 year history of T2 DM, hypertension, proteinuria, type 4 renal tubular acidosis since 2010, and hyperlipidemia. She had two episodes of UTI’s in 2011 within short intervals, full uorologic work up with CT pyelography done at that time were all normal. They were successfully treated with simple courses of oral antibiotics. No further UTI’s were reported since 2011.

Baseline lab showed: Na=138 mmol/l, K = 5.5, Urea = 4.6mmol/l. S. Creatinine = 76µmol/l, eGFR = 78ml/min, and HbA1c=9.6%. Dapagliflozin was added to her therapeutic regimen on March 25th.2015.

Within 24 hours after starting dapagliflozin, she noted increased polyuria and polydipsia. She reported that her urine volume increased to an average of 2-3 big size mineral water bottles (3-4.5 L). As instructed she made sure to consume 2.5-3 litters of water. Ten days later, she developed severe bilateral loin and lower back pain followed by suprapubic pain, dysuria and fever of 39.3°C.

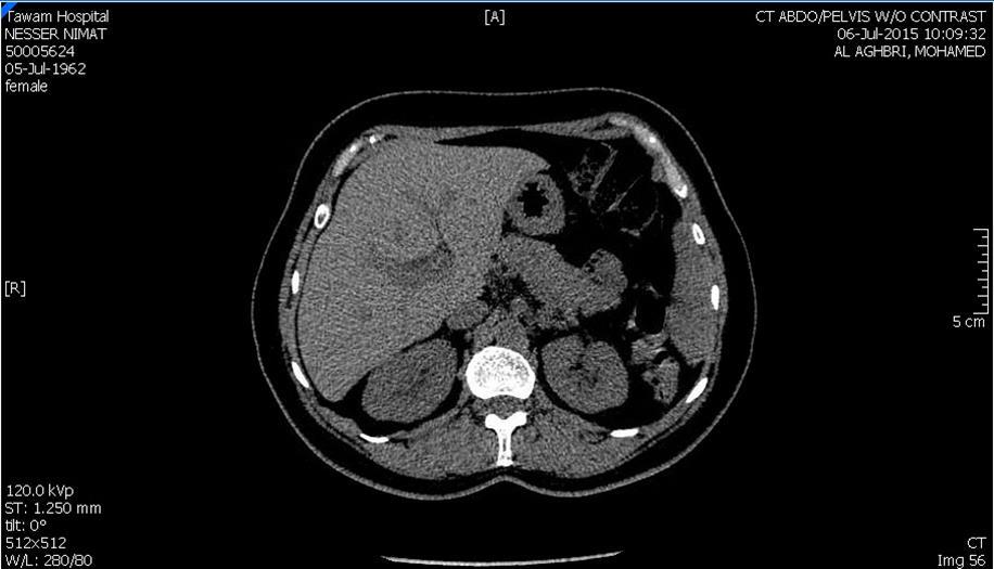
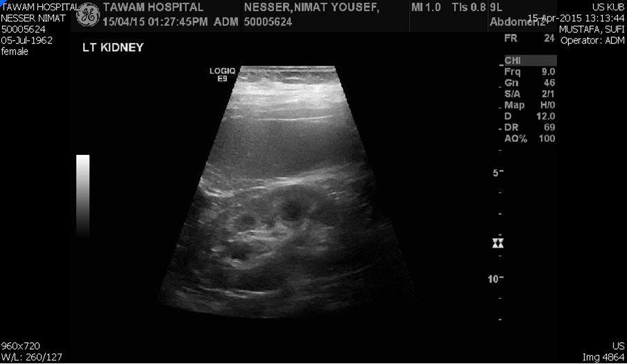
Blood tests on April 14th showed: Na = 131, K = 5.1, Urea = 6.9, S. Creatinine = 96, and eGFR = 61ml/min. Urine analysis and cultures confirmed E. coli urosepsis, blood cultures were negative. Renal US revealed echogenic kidneys, mild bilateral hydronephrosis of about 12 mm with normal ureters and urinary bladder (Figure 1 and Figure 2). Treatment with oral antibiotics resulted in improvement of temperature and dysuria. On April 20th patient seen by endocrinology and nephrology because of persistent back pain, dapagliflozin was discontinued and followed by resolution of symptoms in few days. Patient had two kidney ultrasounds in May and June, both indicated gradual resolution of bilateral hydronephrosis. Repeat CT of the abdomen on July 7th revealed complete resolution of hydronephrosis (Figure 3). Most recent eGFR is 72 ml/min.

Figure 1.Right kidney hydronephrosis
 Right kidney hydronephrosis

Figure 2.Left kidney hydronephrosis
 Left kidney hydronephrosis

Figure 3.CT Scan showing bilateral kidneys with no hydronephrosis
 CT Scan showing bilateral kidneys with no hydronephrosis

Discussion:

SGLT 2 inhibitors are reported to cause osmotic diuresis, dehydration, urinary tract and genital infections5. However, to the best of our knowledge, acute bilateral hydronephrosis has not been reported.

Urinary obstruction causes pain, due to distention of the bladder, collecting system, or renal capsule. Pain is typically minimal or absent with partial or slowly developing obstruction (as with congenital ureteropelvic junction UPJ obstruction or a pelvic tumor). In comparison, relatively severe pain (renal or ureteral colic) may be seen with acute complete obstruction (as with a ureteral calculus) or when acute dilatation occurs after a fluid load that increases the urine output to a level greater than the flow rate through the area of obstruction. An example of the latter condition occurs after heavy beer drinking in a college student with previously asymptomatic and unsuspected UPJ obstruction 6, 7. The site of obstruction determines the location of pain. Upper ureteral or renal pelvic lesions lead to flank pain or tenderness, whereas lower ureteral obstruction causes pain that may radiate to the ipsilateral testicle or labia.

The causal relationship p between the use of dapagliflozin and the occurrence of acute bilateral hydronephrosis in this case is based on the following evidences: 1- This patient had a normal CT pyelography in 2011when she was thoroughly investigated to exclude any urinary obstruction or anomaly. 2- Her acute loin and back pain started only one day after starting her on the medication followed by the UTI symptoms. 3- Her symptoms did not completely resolve with the antibiotic therapy, despite the resolution of fever and dysuria. 4- Ultrasound of kidneys showed bilateral hydronephrosis associated with acute renal impairment. 5- Her symptoms, and her kidney function, both improved after the discontinuation of dapagliflozin and finally 6- the hydronephrosis improved gradually, and completely resolved on last CT scan.

The mechanism of bilateral hydronephrosis is most likely related to dapagliflozin induced osmotic diuresis. This over diuresis might have led to acute bilateral hydronephrosis either due to unmasking the presence of subclinical obstruction in both ureteropelvic junctions (PUJ) or to the “functional” inability of the UPJ to cope with the huge urine volume produced by the kidney. Functional hydronephrosis is well recognized in the pediatric urology literature, as well as in adult urology where it is known as the “Beer Drinkers Syndrome”, when an acute hydronephrosis is results from over-diuresis due to drinking large amount of beer6, 7

Conclusion:

Acute bilateral hydronephrosis is a potential complication with the use of SGLT 2 inhibitors in Patients with diabetes. Prompt management and drug withdrawal will reverse renal function and hydronephrosis.

Funding:

This study was not funded.

Ethical Approval:

This article does not contain any studies with human participants or animals performed by any of the authors

References

  1. 1.Wright E M. (2001) Renal Na (+)-glucose cotransporters. , Am J Physiol Renal Physiol 280, 10-18.
  1. 2.Wright E M, Hirayama B A, Loo D F. (2007) Active sugar transport in health and disease. , J Intern Med 261, 32-43.
  1. 3.Bakris G L, Fonseca V A, Sharma K, Wright E M. (2009) Renal sodium-glucose transport: role in diabetes mellitus and potential clinical implications. , Kidney Int 75, 1272-1277.
  1. 4.Krook A, Kawano Y, Song X M. (1997) Improved glucose tolerance restores insulin-stimulated Akt kinase activity and glucose transport in skeletal muscle from diabetic Goto-Kakizaki rats. , Diabetes 46, 2110-2114.
  1. 5.List J F, Woo V, Morales E, Tang W, Fiedorek F T.(Apr2009) Sodium-glucose cotransport inhibition with dapagliflozin in type 2 diabetes. Diabetes Care. 32(4), 650-7.
  1. 6.Tsai J D, Huang F Y, Lin C C, Tsai T C, Lee H C et al. (2006) Intermittent hydronephrosis secondary to ureteropelvic junction obstruction: clinical and imaging features,Pediatrics.117(1):. 139-46.
  1. 7.Dennis G Lusaya.. (May04,2015). Hydronephrosis and Hydroureter Clinical Presentation. Medscape .

Cited by (2)

This article has been cited by 2 scholarly works according to:

OpenAlex 1 citations Crossref 1 citations Semantic Scholar 1 citations

Citing Articles:

1.Action Mechanisms and Therapeutic Targets of Renal Fibrosis
Journal Of Nephrology Advances (2018) OpenAlex
2.Action Mechanisms and Therapeutic Targets of Renal Fibrosis
Journal of Nephrology Advances (2018) Crossref
3.Action Mechanisms and Therapeutic Targets of Renal Fibrosis
Shi-Xing Ma, You-Quan Shang, Huan-Qiao Zhang, Wei Su - Journal Of Nephrology Advances (2018) Semantic Scholar