Journal of Neurological Research And Therapy

Journal of Neurological Research And Therapy

Journal of Neurological Research and Therapy

Current Issue Volume No: 1 Issue No: 2

In Brief Open Access Available online freely Peer Reviewed Citation

Reversible Cerebral Lession and Irreversible Cerebral Necrosis After Cardiorespiratory Arrest: A Case Report

Article Type: In Brief

1Department of Neurology, Affiliated Shu Yang People′s Hospital, XuZhou Medical University, Jiangsu, China

2Department of Medical research, Affiliated Shu Yang People′s Hospital, XuZhou Medical University, Jiangsu, China

Abstract

This case contrasts reversible cerebral lesions with areas of irreversible necrosis following cardiorespiratory arrest. The authors discuss imaging evolution, mechanisms of hypoxic–ischemic injury, and implications for prognostication and rehabilitation.

Author Contributions
Received 20 Aug 2015; Accepted 20 Dec 2015; Published 28 Dec 2015;

Academic Editor: Biswarup Ghosh, Thomas Jefferson University, Dept. of Neuroscience, Philadelphia, US

Checked for plagiarism: Yes

Review by: Single-blind

Copyright ©  2015 Dao-Ming Tong, et al.

License
Creative Commons License     This is an open-access article distributed under the terms of the Creative Commons Attribution License, which permits unrestricted use, distribution, and reproduction in any medium, provided the original author and source are credited.

Competing interests

The authors have declared that no competing interests exist.

Citation:

Dao-Ming Tong, Ye-Ting Zhou, Xiao-Dong Chen (2015) Reversible Cerebral Lession and Irreversible Cerebral Necrosis After Cardiorespiratory Arrest: A Case Report. Journal of Neurological Research And Therapy - 1(2):1-3. https://doi.org/10.14302/issn.2470-5020.jnrt-15-701

Download as RIS, BibTeX, Text (Include abstract )

DOI 10.14302/issn.2470-5020.jnrt-15-701

Introduction

The differences infunctional outcomes and pathological finding safter brain damage from cardiorespiratory arrest, are not widely appreciated. Computed tomographic (CT) scan and magnetic resonance imaging (MRI) may provide insights into the mechanisms and distributions of early brain injury. We report one patient with classic post-resuscitation encephalopathy (PRE) from severe hypoxia or ischemia, whose prognosis correlated well with CT and MRI findings.

Case Report

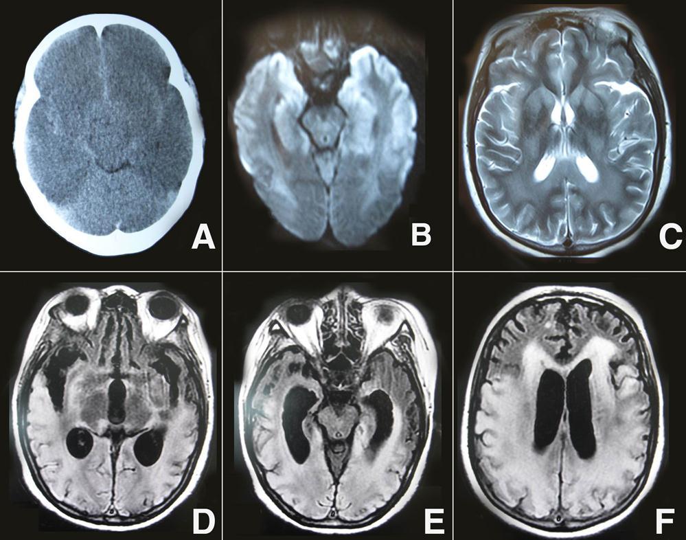
A 46-year-old woman was found in cardiorespiratory arrest after she had an out-of-hospital an suddenly drop atroke lasting about 27 min. She was successfully resuscitated and admitted to the intensive care unit.The etiopathogenesis of cardiac arrest was ventricular fibrillation for patient. On initial examination, her pupils were 2 mm in diameter and nonreactive to light, and there was unresponse to external stimulation, and the score on the Glasgow Coma Scale was 3(E1V1M1). On admition, initial head CT revealed no significant findings. On the three days after onset, a repeat noncontrast CT images showed a whole cerebral brain swelling, caudal transtentorial Herniation, and microhemorrhages in the intercerebral and subarachnoid (Figure 1A). Diffusion- weighted magnetic resonance imaging (DWI) performed on day 14, the patient showed extensive lesions of the bilateral middle, hippocampus and the gray matter of the frontal and temporal cortices (Figure 1 B). In addition, brain MRI T2-weighted imaging showed bilateral symmetric high signal intensity in the caudate, putamen, thalami, occipital, parietal cortices and subcortical white matter (Figure 1C). After 20 days, her neurological status was improved, the GCS scale was 8 (E4V1M3). she did not show any signs of conscious perception regarding the different types of stimulation, including pain. She had been in a vegetative state. On follow-up MRI 60 days later, Fluid-attenuation inversion recovery image (FLAIR) showed cortical, subcortical white matter, and periventricular white matter confluent hyperintense lesions in the bilateral temporal, parietal, and occipital regions, and enlarged ventricles (Figure 1D-F). After three months, she did not perform requested commands and displayed spastic palsy to a higher extent in the lower limbs. The GCS scale was 9 (E4V1M4), and she was declared a persistent vegetative state.

Figure 1.A) Brain CT showed a whole cerebral brain swelling, caudal transtentorial Herniation, and microhemorrhages in the intercerebral and subarachnoid; B) DWI showed extensive lesions of the bilateral middle, hippocampus and the gray matter of the frontal and temporal cortices; C) brain MRI T 2-weighted imaging showed bilateral symmetric high signal intensity in the caudate, putamen, thalami, occipital, parietal cortices and subcortical white matter; D-F) On follow-up MRI 60 days later, FLAIR showed cortical, subcortical white matter, and periventricular white matter confluent hyperintense lesions in the bilateral temporal, parietal, and occipital regions, and enlarged ventricles.
 A) Brain CT showed a whole cerebral brain swelling, caudal transtentorial Herniation, and microhemorrhages in the intercerebral and subarachnoid; B) DWI showed extensive lesions of the bilateral middle, hippocampus and the gray matter of the frontal and temporal cortices; C) brain MRI T 2-weighted imaging showed bilateral symmetric high signal intensity in the caudate, putamen, thalami, occipital, parietal cortices and subcortical white matter; D-F) On follow-up MRI 60 days later, FLAIR showed cortical, subcortical white matter, and periventricular white matter confluent hyperintense lesions in the bilateral temporal, parietal, and occipital regions, and enlarged ventricles.

Discussion

Post-Resuscitation Encephalopathy (PRE), is a relatively frequent condition. PRE is introduced as a term to describe the comatose state after CPR.1 The prognosis of CPR is different, depending on whether the brain damage is reversible or irreversible. Our patient was confirmed that early CT scan of CPR may not have abnormal changes, and upon to the 2-3 days later she had obvious diffuse edema and minor intercerebral hemorrhages. Therefore, the monitoring of the diffuse edema and mimic minor hemorrhages on brain CT is useful for an early diagnosis of PRE. However, most studies have confirmed that MRI is more useful for predicting prognosis than CT scan. On the day 14 after onset, DWI showed extensive lesions of the bilateral middle, hippocampus, caudate, putamen, thalami, occipital, parietal and the gray matter of the frontal and temporal cortices. Previous studies indicated that presence of a lesion pattern of multilobar, or diffuse, cortical involvement, termed as "extensive cortical lesion pattern", and associated with poor outcome. 2, 3 In fact, on the 20 days of onset, the patient'neurological status was improved, and her GCS scale was 8 (E4V1M3). Moreover, on follow-up MRI 60 days later, the hyperintense lesions in the bilateral frontal, thalami, and middle have been reversed,suggesting some cortical and subcortical cerebral lesions were reversible. However, periventricular white matter confluent hyperintense lesions in the bilateral temporal, parietal, and occipital regions have not been reversed, suggesting these hyperintense lesions were irreversible. An earlier study has showed that patients with bilateral basal ganglia, thalami, and/or substantia nigra lesions may survive in a persistent vegetative state (PVS).4 Current MRI-FLAIR found that patients with bilateral temporal, parietal, and occipital extensive lesions may also survive in a PVS.

According to the diagnostic criteria of persistent vegetative state published by the American Academy of Neurology in 1995, our patient with a persistent vegetative state has been diagnosed. Our study suggests that these delayed high signals on DWI or FLAIR from PRE represent an irreversible neuronal necrosis and atrophy practically. This has also been confirmed by an earlier study.5

DWI and FLAIR imaging may help overcome this problem when treating physicians and family members require more information on prognosis. However, the potential of MRI to complement examination based predictions of outcome and to select target populations most likely to benefit from treatment strategies needs further study.

Disclosures

None.

References

  1. 1.Maramattom B V, EFM Wijdicks. (2005) Post resuscitation encephalopathy. Current views, management and prognostification. , Neurologist 11, 234-243.
  1. 2.Topcuoglu M A, Oguz K K, Buyukserbetci G, Bulut E. (2009) Prognostic Value of Magnetic Resonance Imaging in Post-Resuscitation Encephalopathy. , Inter Med 48, 1635-1645.
  1. 3.Hirsch K G, Mlynash M, Eyngorn I, Pirsaheli R, Okada A.Multi-Center Study of Diffusion-Weighted Imaging in Coma After Cardiac Arrest. Neurocrit Care.2015Jul9.[Epub ahead of print].
  1. 4.Fujioka M, Okuchi K, Sakaki T, Hiramatsu K, Miyamoto S et al. (1994) Specific changes in human brain following reperfusion after cardiac arrest.Stroke. 25, 2091-2095.
  1. 5.Wu O, Sorensen A G, Benner T, Singhal A B, Furie K L et al. (2009) Comatose patients with cardiac arrest: predicting clinical outcome with diffusion-weighted MR imaging. , Radiologe 252, 173-81.