Journal of Public Health International

Journal of Public Health International

Journal of Public Health International

Current Issue Volume No: 2 Issue No: 3

Case Report Open Access Available online freely Peer Reviewed Citation

Identity Crisis - Common Tumors in Exceptional Locations, A Case Series

Article Type: Case Report

1Department of Otorhinolaryngology, Hospital Sultanah Aminah (Ministry of Health, Malaysia), Johor, Malaysia

2Department of Pathology, Hospital Sultanah Aminah (Ministry of Health, Malaysia), Johor, Malaysia.

Abstract

Mucoepidermoid carcinoma (MEC) accounts for only 5% of all salivary gland tumors and is most often seen in the parotid glands. MEC occurrence in the larynx is, however, rare. The incidence of primary squamous cell carcinoma (SCC) of salivary glands is also scarce and comprises only about 1.6% of all salivary gland malignancies. Hereby, we share our experience in managing two patients with rare and opposite variants of malignancy which were diagnosed at the same time; MEC of the larynx and SCC of the parotid. In MEC tumors, the presence of the intermediate and mucous cells with positivity in mucicarmine stain are the significant features. For SCC tumors, identification of the usual tumor markers (p40, CK 5/6 and p63) are pathognomonic. Although MEC and SCC are common in the head and neck regions, the existence of these malignancies in exceptional locations must be considered. The key features mentioned in our comparison table can help distinguish both these tumors and to deliver the correct treatment modalities. The prevalence of genomic and carcinogenic factors in the occurrence of these tumors in uncommon locations needs to be explored in future studies.

Author Contributions
Received 27 Mar 2020; Accepted 10 Apr 2020; Published 07 May 2020;

Academic Editor: Larance Ronsard, National Institute of Immunology, New Delhi-110067.

Checked for plagiarism: Yes

Review by: Single-blind

Copyright ©  2020 Thilaga Rajendran, et al.

License
Creative Commons License     This is an open-access article distributed under the terms of the Creative Commons Attribution License, which permits unrestricted use, distribution, and reproduction in any medium, provided the original author and source are credited.

Competing interests

The authors have declared that no competing interests exist.

Citation:

Thilaga Rajendran, Vanitha Palanisamy, Yabitha Vasavan, Jothi Shanmuganathan (2020) Identity Crisis - Common Tumors in Exceptional Locations, A Case Series . Journal of Public Health International - 2(3):7-14. https://doi.org/10.14302/issn.2641-4538.jphi-20-3289

Download as RIS, BibTeX, Text (Include abstract )

DOI 10.14302/issn.2641-4538.jphi-20-3289

Introduction

Mucoepidermoid carcinoma (MEC) is the most frequent malignant tumor of the salivary glands. It accounts for about 5% of salivary gland tumors in general and is most often seen in the parotid gland. The female preponderance is about 3:2 in ratio and is more commonly diagnosed in the 5th decade. Moreover, MEC is the most common salivary gland malignancy in children. 1

However, MEC in the larynx is scarce. In 1963, Arcidiacono and Romeo were the pioneers in detecting these types of neoplasm in the larynx. 2 Laryngeal carcinomas are mostly of squamous cell carcinoma (SCC) types, (95%) as these malignancies represent the origin of the laryngeal epithelium itself. Other histopathology types of carcinoma of the larynx are adenocarcinoma (<1%), spindle cell carcinoma and undifferentiated carcinoma. 1 High-grade MEC tumors are known to be aggressive. They exhibit features of high mitotic figures with atypia, regions of necrosis and also perineural invasion. 3 In Malaysia, laryngeal carcinoma represents the second-highest incidence of malignancy in the otorhinolaryngology setting after nasopharyngeal carcinoma. According to a retrospective study done in Malaysia on the incidence of cancer of the larynx, SCC represents about 86.9% of cases, while MEC comprises only about 0.7% cases. 4

On the other hand, the incidence of primary SCCs of salivary glands is scarce and comprises only about 1.6% of all salivary gland malignancies. The previous history of radiation therapy has been known to contribute to the development of primary SCC. 5 For the parotid gland mainly, the incidence of primary squamous cell carcinoma is about 1%. This data is as close to the frequency of cases with metastasis to the parotid gland from other SCC of head and neck region, which is about 1.5%. The common outcomes for patients with primary SCC of the parotid gland are a local recurrence and regional lymph node metastases. Spiro et al have reported that lymph node metastases were detected in 7 out of 10 patients. The study also showed that the final prognosis for the patients tends to depend more on their clinical staging of the tumor, rather than its histopathology. However, distant metastasis is not a usual finding seen. 6

Hereby, we share our experience in managing two patients with rare and opposite variants of malignancy which were diagnosed at the same time; MEC of the larynx and SCC of the parotid.

Case 1

A 70-year-old gentleman, ex-smoker with no comorbid presented to us with hoarseness for 2 months in duration. He also had occasional shortness of breath. There was no constitutional symptom present. Upon our examination, the patient had soft stridor with hoarseness. There were no palpable neck nodes and laryngeal crepitus was present. On flexible nasopharyngolaryngoscopy, a fungating mass was seen occupying the whole length of the left vocal cord, with the cord in a fixed position. The right vocal cord was mobile. A high tracheostomy was done with direct laryngoscopy showing a supraglottic mass obstructing the laryngeal inlet, which is more confined to the left vocal cord and with extension into the subglottic region. Histopathology reported the mass as in favor of MEC. In microscopy, intraluminal and occasional intracytoplasmic PAS-positive diastase-resistant mucin were demonstrated. [Figure 1 & Figure 2] A contrasted-CT scan showed a huge laryngopharyngeal mass extending from the supraglottic to the infraglottic region, with no significant lymphadenopathy nor distant metastasis. The mass had no clear plane with the left thyroid and arytenoid cartilages. Subsequently, the patient underwent a total laryngectomy, left hemithyroidectomy and bilateral selective neck dissection with the histopathology reporting of high-grade MEC, with the involvement of the right level II neck node. Clinically, this is a T4aN0M0 transglottic tumor. Currently, the patient has completed adjuvant radiotherapy with monthly follow-ups at our center. He had remained well at six months follow-up.

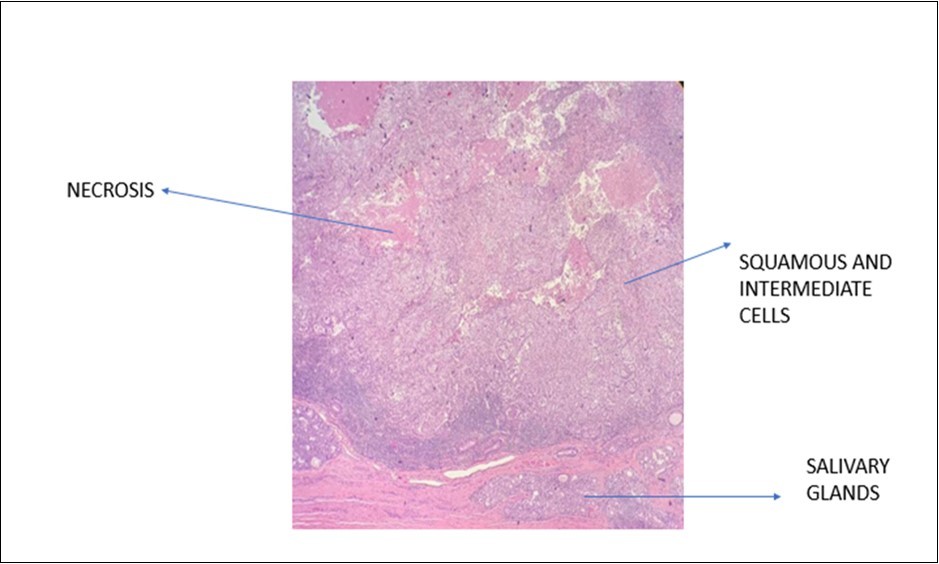
Figure 1.Photomicrograph show presence of squamous and intermediate cells in MEC of larynx (x20 high power field)
 Photomicrograph show presence of squamous and intermediate cells in MEC of larynx (x20 high power field)

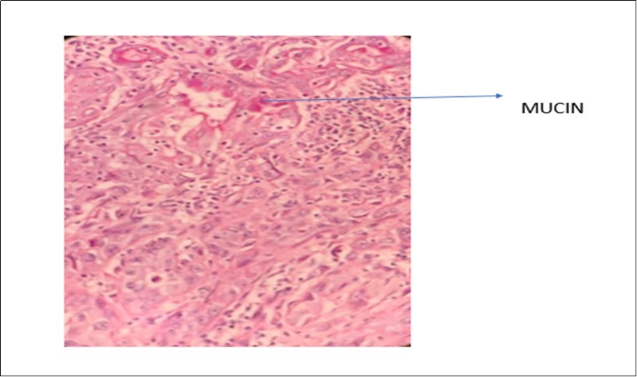
Figure 2.Photomicrograph show presence of mucin with positivity of mucicarmine stain in MEC of larynx (x40 high power field)
 Photomicrograph show presence of mucin with positivity of mucicarmine stain in MEC of larynx (x40 high power field)

Case 2

A 42-year-old gentleman, ex-smoker with underlying diabetes mellitus came to our clinic for right neck swelling for about 10 months. The swelling was gradually increasing in size and was giving occasional pain to the patient. But, there were no obstructive symptoms nor a history of prior exposure to radiation. Upon examination, there was a 2x2cm firm, fixed and non-tender swelling palpable at level II of right neck, with no skin changes seen. The facial nerve was intact and the oral cavity was clear. Proceed with flexible scope, there was no mass seen, and laryngeal structures were normal. Fine needle aspiration revealed normal salivary gland elements. A contrasted-CT scan reported a deep lobe parotid gland mass with non-opacification of the right internal jugular vein which could be from compression or thrombosis. [Figure 3] A wedge biopsy was performed subsequently which reported as squamous cell carcinoma, moderately-differentiated. [Figure 4, Figure 5 & Figure 6] Given the malignancy reported, a right total parotidectomy with right selective neck dissection was performed. Post-operatively, the patient developed House-Brackmann grade II facial nerve palsy. Histopathology showed evidence of squamous cell carcinoma with no involvement of adjacent nodes. A final diagnosis of T3N0M0 squamous cell carcinoma of the parotid gland was established. The patient was then referred to the oncology team for chemoradiation. Currently, the patient has completed adjuvant radiotherapy with no signs of recurrence observed so far at six months follow-up.

Figure 3.Contrasted CT neck showing mass at deep lobe of right parotid gland
 Contrasted CT neck showing mass at deep lobe of right parotid gland

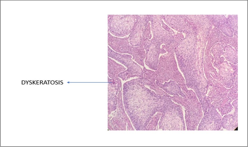
Figure 4.Photomicrograph show presence of dyskeratotic cells in SCC of parotid (x40 high power field)
 Photomicrograph show presence of dyskeratotic cells in SCC of parotid (x40 high power field)

Figure 5.Photomicrograph show positivity to immunohistochemistry marker CK 5/6 in SCC of parotid (x20 high power field)
 Photomicrograph show positivity to immunohistochemistry marker CK 5/6 in SCC of parotid   (x20 high power field)

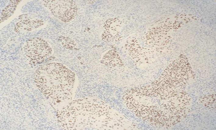
Figure 6.Photomicrograph show positivity to immunohistochemistry marker p40(nuclear) in SCC of parotid (x20 high power field)
 Photomicrograph show positivity to immunohistochemistry marker p40(nuclear) in SCC of parotid (x20 high power field)

Discussion

This article aims to highlight the characteristics of both MEC and SCC tumors which had developed at uncommon locations in the head and neck regions and also the histological key features distinguishing both the malignancies.

The highest incidence of MEC in larynx mostly occurs in the supraglottic region (61%), where laryngeal glands are mostly located at. This is as shown in this case reported. The site of occurrence differs from SCC as SCC of larynx usually affects the glottis region. Laryngeal MEC has a wide range of diseases from localized invasion to highly malignant lesions as described in this article. The origin of these lesions is usually from the reserve cells in the excretory ducts of submucosal glands. It can also be from the squamous cells in the laryngeal surface epithelium. 1 Microscopically, MEC consists of 3 cell types, which are epidermoid, mucus-secreting and intermediate cells, which are histopathologically similar to any MEC lesions occurring elsewhere. Thus, recognizing these features is of utmost importance in establishing the diagnosis of these rare neoplasms. 7

However, MEC of the larynx is a rare entity in the literature. There are several reasons for this rarity that are worth mentioning. Sampling errors and interpretation errors of the tumor specimen can occur. It is quite difficult to identify these lesions when occurring at sites other than the salivary glands. Thus, these lesions tend to be diagnosed in a more advanced stage. 8 MEC lesions have the propensity to develop submucosally. This causes the spread or infiltration of a MEC tumor under the squamous epithelium to be easily missed as the mucosal surface appears smooth. 9

For low and intermediate-grade MEC tumors, the diagnosis is mostly uncomplicated as one can identify the presence of mucous cells and cystic components in these lesions. But for high-grade MEC neoplasms, the diagnosis is rather tricky and challenging as it can resemble other types of tumors histologically. This is especially true for SCC lesions. High-grade MEC tumors are composed mostly of solid islands of intermediate and epidermoid cells. 10

On the other hand, MEC and SCC lesions are quite similar histologically, which can be tricky to establish the correct diagnosis. The presence of the intermediate and mucous cells in MEC tumors is one of the distinguishing features. 8 Performing a mucicarmine stain is also significant in identifying MEC lesions. Besides, immunohistochemistry expression of MUC-type mucin and expression of cytokeratin marker, CK 14 help establish the diagnosis of MEC. 1 As such, intraluminal and occasional intracytoplasmic PAS-positive diastase-resistant mucin were identified in the case discussed, leading to its diagnosis of MEC of the larynx.

The prognosis of the MEC tumors mainly relies on factors such as tumor grading and clinical staging. Grading of the tumors is seen as a significant indicator of its prognosis. Thus, about 80% of the 5-year-survival rate was reported by Ho et al. for MEC of larynx generally. But, a poorer prognosis of about 50% was recorded for high-grade tumors while low-grade tumors had a prognosis of 91-100%. 9

Thus, a good cure rate and prognosis can be achieved if these neoplasms are treated early. The main treatment for MEC tumors is surgery, especially for localized disease, as it is quite radioresistant. This is in contrary to SCC of the larynx, which is more radiosensitive. 3 A multimodality approach is required for high-grade MEC tumors, consisting of surgery, radical neck dissection and adjuvant radiotherapy. This is due to a high risk of local recurrence, which can be up to 50% in these types of lesions. 1 In this article discussed, we performed a total laryngectomy with left hemithyroidectomy and bilateral selective neck dissections, followed by postoperative radiotherapy. For MEC tumors bigger than 4 cm, postoperative radiotherapy has been reported to increase the survival rates. 11

Meanwhile, for primary SCC lesions, the malignant cells show many cytoplasmic processes and desmosomes. Also, the cells have intermediate filaments in their cytoplasm with no secretory granules. These features usually help differentiate primary SCC from the similar-looking MEC. Moreover, SCC malignancies have distinct tumor markers that help pathologists in differentiating it from the rest of the tumors. These tumor markers are p40, CK 5/6 and p63. The use of these markers is as evident in this article.

A primary SCC of the salivary gland is mostly an aggressive tumor which can lead to a much poorer prognosis, compared to the conventional SCC. Some of the contributing factors to the poorer prognosis are age more than 60 years old, deeply fixed tumor, any presence of ulceration, cervical nodal metastasis and facial nerve asymmetry. The management option is total parotidectomy, with radical neck dissection, followed by postoperative radiotherapy. However, the 5-year survival range is still at about 25-30% even with sufficient treatment. 12

Both the patients discussed here did not exhibit any striking similarities to be compared upon. Nonetheless, they were both ex-smokers. The carcinogenesis mechanism involved among smokers and the development of squamous cell carcinoma had already been well established in the literature. No genetic analysis was however performed. Thus, for future studies, genetic analysis could be performed for patients with common tumors in exceptional locations to aid in the diagnosis and prognosis.

A study done in Egypt in 2009, reported that the expression of cyclooxygenase isoform (COX-2) was much raised in tumors with positive lymph node involvement than that of node-negative tumors. The more aggressive MEC tumors were also found to have higher expression of COX-2. Another biomarker, Bcl-2, also known as B-cell lymphoma protein 2 alpha was also seen to be increased in MEC tumors. Thus, it was concluded that both COX-2 and BCL-2 have good predictive values to determine cervical lymph node metastasis in MEC tumors. 13 Although both the patients discussed did not have any distant metastasis, we must investigate further on the metastatic ability of these tumors, especially when it occurs in uncommon locations. Thus, research on the biomarkers which can be the potential carcinogenic factors as in the study mentioned can be developed in the future.

In summary, from the case series reported, we came up with a comparison table to help distinguish both mucoepidermoid carcinoma and squamous cell carcinoma. Table 1

Table 1. Comparison between MEC and SCC tumors
Factors Mucoepidermoid carcinoma Squamous cell carcinoma
Common site In larynx-Supraglottis In larynx-Glottis
Risk factors Unknown Smoking and alcoholRadiation exposure
Gender Female (in salivary glands) Male
Tumor markes (by immunohistochemistry staining) CK 14 p40, CK 5/6, p63
Mucin-producing cells Yes No
Intermediate cells Yes No
Mucicarmine stain Yes No
Presence of desmosomes No Yes
Treatment Mainly surgery, if localised disease Mainly radiotherapy
5-year survival rate Depends on grade of tumor 60%

Conclusion

Although MEC and SCC are common in the head and neck regions, the existence of these malignancies in exceptional locations must be considered. The key features mentioned in our comparison table can help distinguish both these tumors and to deliver the correct treatment modalities. Prevalence of genomic and carcinogenic factors in occurrence of these tumors in uncommon locations need to be explored in future studies.

Acknowledgement

We would like to thank the Director General of Health Malaysia for his permission to publish this article.

Ethics Statement

Ethics approval not required. The patients gave their consent for publication of this article.

Abbreviations

MEC- mucoepidermoid carcinoma

SCC- squamous cell carcinoma

CT- computed tomography

References

  1. 1.Mokhtari S, Mokhtari S. (2012) Clinical features and differential diagnoses in laryngeal mucoepidermoid carcinoma. , Clinical Medicine Insights: Pathology 5, 8435.
  1. 2.Arcidiacono D G, Romeo D G.. Tumor mucoepidennoidali salivari
  1. 3. (1963) Clin Otorinolaryngoiatr.15:. 95-108.
  1. 4.King W, Ko S, Miller D. (2016) Recurrent high-grade invasive mucoepidermoid carcinoma of larynx: a case report and review of the literature. Rare tumors. 8(2), 78-80.
  1. 5.Sani A, Said H, Lokman S. (1992) . , Carcinoma of the larynx in Malaysia. Malay 26, 19.
  1. 6.A S Panchbhai. (2015) Primary squamous cell carcinoma of salivary gland: Report of a rare case. , Journal of cancer research and therapeutics 11(3), 664.
  1. 7.J G Batsakis, K D McClatchey, Johns M, Regazi J. (1976) Primary squamous cell carcinoma of the parotid gland. , Archives of otolaryngology 102(6), 355-357.
  1. 8. (2019) Mucoepidermoid carcinoma. Oral Cancer Foundation. Available at :https://oralcancerfoundation.org/facts/rare/mucoepidermoid-carcinoma/[Accessed29July2019].
  1. 9.V L Cumberworth, Narula A, K A MacLennan, P J Bradley. (1989) Mucoepidermoid carcinoma of the larynx. , The Journal of Laryngology & Otology 103(4), 420-423.
  1. 10.Shonai T, Hareyama M, K I Sakata, Oouchi A. (1998) Mucoepidermoid carcinoma of the larynx: a case which responded completely to radiotherapy and a review of the literature. Japanese journal of clinical oncology. 28(5), 339-342.
  1. 11.Sobral A P V, Loducca S V L, L P Kowalski, Santos I R B, O P Almeida et al. (2002) Immunohistochemical distinction of high-grade mucoepidermoid carcinoma and epidermoid carcinoma of the parotid region. , Oral oncology 38(5), 437-440.
  1. 12.Lozev I, Ruseva S, Pidakev I, J C Cardoso. (2018) Mucoepidermoid Carcinoma (MEC) of Parotid Gland with Massive Cutaneous Involvement: Bilateral Pedicle Advancement Flap (U-Plasty) As Adequate Surgical Approach. Open access Macedonian journal of medical sciences. 6(1), 134.
  1. 13.Akhtar K, P S Ray, Sherwani R, Siddiqui S. (2013) Primary squamous cell carcinoma of the parotid gland: a rare entity. BMJ case reports. 2013009467.
  1. 14.Zyada M M, Grawish M E, Elsabaa H M. (2019) Predictive value of cyclooxygenase 2 and Bcl-2 for cervical lymph node metastasis in mucoepidermoid carcinoma. Annals of diagnostic pathology2009Oct1. 13(5), 313-21.