Journal of Dermatologic Research And Therapy

Journal of Dermatologic Research And Therapy

Journal of Dermatologic Research and Therapy is a peer-reviewed, open access journal committed to advancing the field of dermatology through the dissemination of cutting-edge, high-quality research. Our journal provides a bridge between basic science and clinical practice, showcasing interdisciplinary studies that integrate dermatology with fields such as immunology, genetics, microbiology, and pharmacology. JDRT is dedicated to providing a forum for the publication of innovative research that contributes to the advancement of dermatologic knowledge and the improvement of patient care.  

Note: An Article Processing Charge (APC) is levied to authors to make a research work available open access in Journal of Dermatologic Research And Therapy.

Submit Manuscript

Journal metrics

Short code

JDRT

ISSN

2471-2175

Average Processing Time

32 days

Acceptance rate

52%

Submission to first decision

12 days

Acceptance to publication

2 days

Impact Factor

5.991

Our Specialties

Journal of Dermatologic Research And Therapy is a comprehensive, peer-reviewed journal that helps disseminate original research work, having a unique aspect of covering many areas which contributes to providing an awareness of research studies of scientists around the globe.

Constant Updating

Dermatology and Patient Outcomes:
JDRT is a peer-reviewed publication committed to advancing the comprehension of dermatological conditions and therapies through the dissemination of high-quality research articles, reviews, and case studies. Our aim is to provide a platform for the exchange of cutting-edge knowledge and insights in the field of dermatology, contributing to the improvement of patient care and outcomes.

About

Manuscript Preparation Process for Skin infections, Microbiome, Cosmetics Articles
JDRT comprehensive author guidelines and support services are designed to ensure that manuscripts are meticulously prepared to the highest standards, thereby streamlining the publication process for a seamless and efficient experience.

Guidelines

Advanced Online Editorial Manager
High Quality Peer review

Peer-Reviewed Dermatology Journal Process: JDRT stringent peer review process, guarantees the publication of only the most exceptional and influential research, upholding the integrity and credibility of our journal. This rigorous evaluation ensures that our published content meets the highest standards of quality, contributing to the advancement of scientific knowledge and innovation.

Peer Review

Submission Requirements for Manuscript Evaluation
Journal welcomes original research papers, reviews, letters, editorials, case reports, case images, clinical trials, rapid communication, commentaries, thesis, literature review, opinions, mini-reviews, book reviews, and more. Submit via email, or using online submission form, or through the MZ portal.

Submission Format

Easy-to-Use Search Functionalities
Article Email Facility

Research Paper Publication Costs: JDRT is committed to maintaining reasonable publication costs, allowing researchers to share their findings without financial barriers. Our priority is to uphold the highest standards of publication quality while ensuring accessibility for all researchers. JDRT believe in facilitating the dissemination of valuable research without imposing excessive financial burdens.

Publication Fee

Open Access Research Papers on Skin Diseases, Skin Cancer: 
As an open-access publication, JDT facilitates the widespread dissemination of research findings without the hindrance of subscription fees. This model fosters a broader exchange of knowledge and contributes to the advancement of understanding and treatment of depression and related mood disorders.

Published Articles

SEO

Editorial Board

Dermatologic Research And Therapy-Pathogenesis of Port Wine Stain birthmark-Wenbin Tan

Wenbin Tan

1002 Health Sciences Road Irvine, CA 92612,United States.

View Profile
Dermatologic Research And Therapy-Vitiligo-Igor Korobko

Igor Korobko

Institute of gene biology, Russian academy of sciences, 34/5 Vavilov street, Moscow 119334, Russia

View Profile
Dermatologic Research And Therapy--Lu Zhang

Lu Zhang

Shanghai Jiao, Tong University School of Medicine,  ​Shanghai, 200011, China.

View Profile
Dermatologic Research And Therapy-Cancer-Anand Rotte

Anand Rotte

Room 687, 828 West 10th Avenue, Vancouver, BC V5Z 1L8, Canada

View Profile

Latest Articles

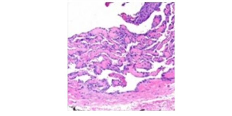
Journal of Dermatologic Research And Therapy-Papillary Endothelial Hyperplasia

Dermatologic Research And Therapy

The Vascular Convolutions-Papillary Endothelial Hyperplasia

DOI: 10.14302/issn.2471-2175.jdrt-20-3511

Published on 5 Sep 2020
Read the full article
Journal of Dermatologic Research And Therapy-sunscreen

Dermatologic Research And Therapy

Pharmacodynamic Modeling of Sunscreens: New Efficacy Evaluation, Risks of Sunburn and Melanoma and Very Low to Very High Sun Protection Factor

DOI: 10.14302/issn.2471-2175.jdrt-20-3274

Published on 27 Mar 2020
Read the full article
Journal of Dermatologic Research And Therapy-Hair growth

Dermatologic Research And Therapy

Assessmentof Hair Growth Treatment with the Consciousness Energy Healing Treated Williams Medium E Using Mouse Vibrissae Hair Follicle Organ Culture

DOI: 10.14302/issn.2471-2175.jdrt-18-2520

Published on 4 Jan 2019
Read the full article
Journal of Dermatologic Research And Therapy-melanoma

Dermatologic Research And Therapy

Blockade of Programmed Cell Death Protein-1 Pathway for the Treatment of Melanoma

DOI: 10.14302/issn.2471-2175.jdrt-17-1760

Published on 22 Nov 2017
Read the full article
SUBMIT MANUSCRIPT NOW

Menu